ILD

COD 118 - ILA of Sequelae - What is the Correct Terminology? Members Public

When faced with indeterminate interstitial lesions, it is a good idea to ask for a COVID-19 history and if present, try and compare with those scans to understand whether the interstitial lesions are sequelae, new lesions or pre-existing prior to the COVID-19 episode

Bhavin Jankharia
ILD

COD 117 - A Progressive Mixed Pattern Preceding the CTD Diagnosis Members Public

Mixed NSIP/OP patterns typically point towards the likelihood of connective tissue disease and should be mentioned in the report

Bhavin Jankharia
ILD

Case of the Day 116 - Mixed Patterns in Connective Tissue Disease ILDs Members Public

Mixed patterns are increasingly being recognized in CTD ILDs and should be mentioned in the report.

Bhavin Jankharia
ILD

Snippet 28: Connective Tissue Disease ILD Patterns Members Public

A discussion of the various patterns seen in CTDs. UIP and variants, NSIP, BIP, LIP, PPFE, OP, mixed and rapidly progressive.

Bhavin Jankharia
ILD

Case 116 - Decoding DPO and CiOP Members Public

DPO is a pattern…of nodular, mixed or dendriform subpleural ossific areas, a CT marker of CiOP, idiopathic or secondary to other fibrosing ILDs. Clinically, this may be an ILA if asymptomatic or part of an ILD if symptomatic.

Bhavin Jankharia
ILD

Case 115 - Ground Glass + Septal Thickening Members Public

Ground glass plus septal thickening has a specific set of conditions that can be differentiated based on appearance morphology, presentation (acute/subacute/chronic) and presence of other findings in the chest or elsewhere on whole body scanning

Bhavin Jankharia
ILD

Case of the Day - 086 - 2025 08 13 - Three Density Sign and the Bronchiolocentric Interstitial Pneumonia (BIP) Pattern Members Public

Since a fibrotic HP pattern and a fibrotic HP as a clinical diagnosis can be confusing, the new guidelines propose that we use the term BIP for the pattern and HP for the clinical condition

Bhavin Jankharia
ILD

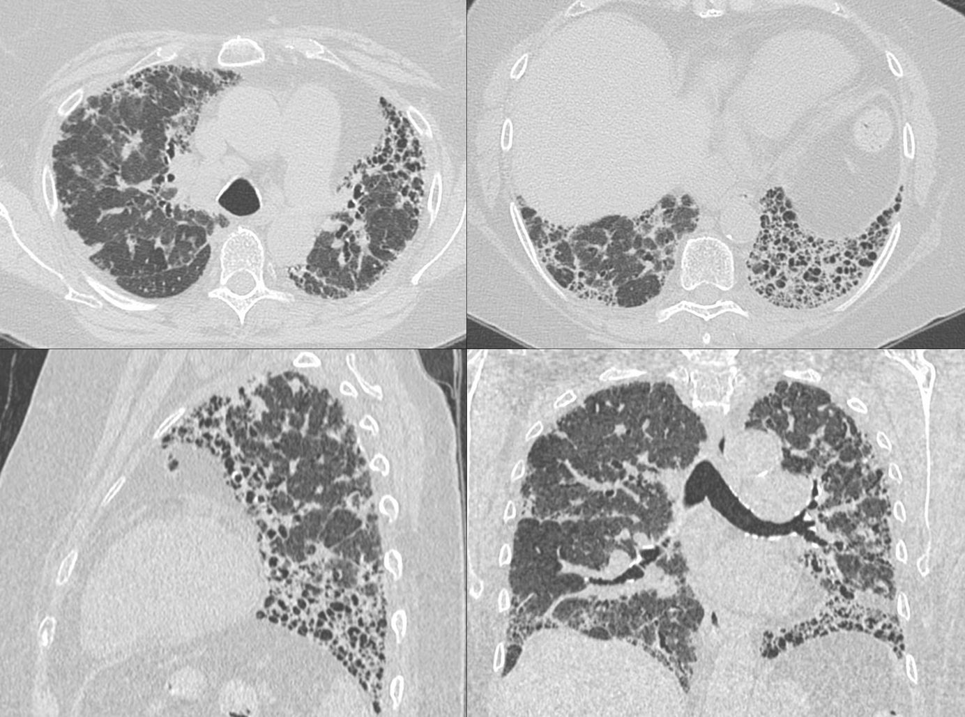
Snippet 27: Airspace Enlargement with Fibrosis (AEF) Members Public

Airspace enlargement with fibrosis (AEF) is a distinct entity where fibrosis within areas of emphysema produces a characteristic appearance in patients with COPD, both in smokers and never-smokers

Bhavin Jankharia
Smoking