Case 109: When a Virtual Biopsy is Sometimes Accepted, Sometimes Not…Our Job is to Point Physicians/Surgeons in the Right Direction
In a patient with a high pre-test probability, a DOTA-PET can reliably suggest a diagnosis of well-differentiated NET/carcinoid.
New One-Time, Lifetime Subscription
Please check out this page to see the changes in subscription models.

Current Post
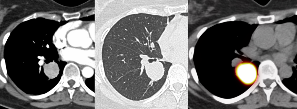
A 50-years old had a nodule in the right lower lobe that was DOTA-PET/CT positive.

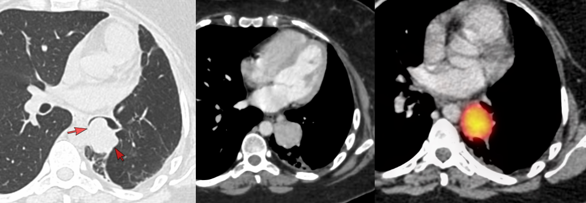
Another 30-years old had a similar tumor in the left lower lobe.

Both lesions are highly suggestive of a well-differentiated neuroendocrine tumor (NET)/carcinoid. One patient went straight to surgery while another still underwent a biopsy and then surgery.
The video discusses the concept of a virtual biopsy and a high pre-test probability in such patients.
This post is for paying subscribers only
SubscribeAlready have an account? Log in
