Acute Exacerbation

Post 01 - New Diffuse Ground Glass in a Fibrosing ILD Members Public

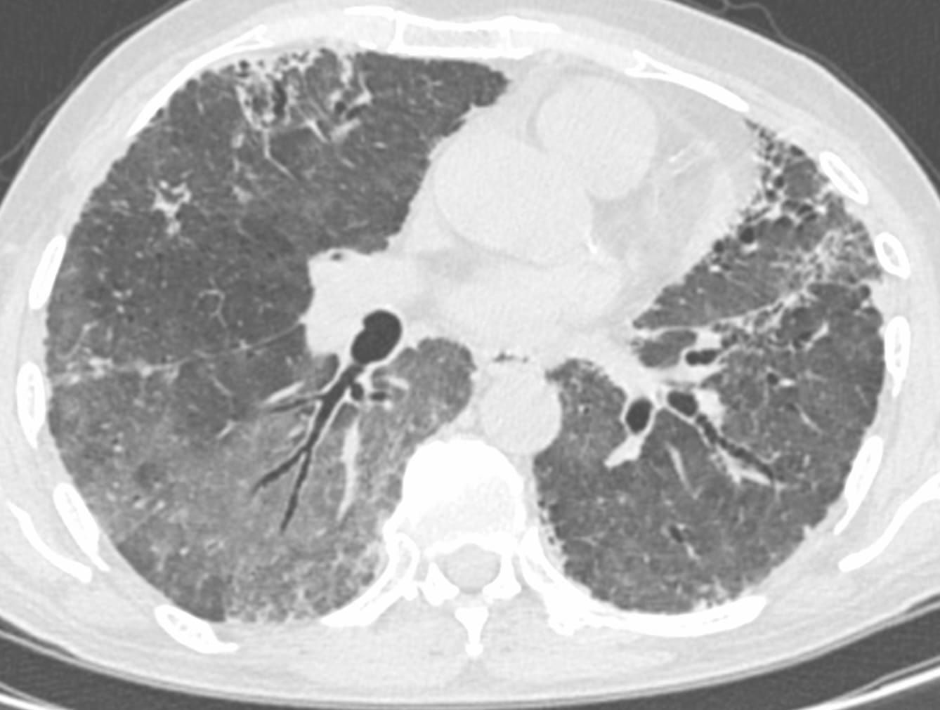
New diffuse ground glass in a pre-existing fibrosing ILD

Bhavin Jankharia
ILD

Case 98: Acute Increased Dyspnea in Idiopathic Pulmonary Fibrosis - First Considerations Members Public

A stepwise approach to suspected acute exacerbation in fibrosing ILDs helps in reaching a diagnosis

Bhavin Jankharia
ILD

Case 92: New Ground Glass in a Patient with a Fibrosing ILD Members Public

New ground glass in a patient with a fibrosing ILD with acute worsening is worrisome

Bhavin Jankharia
ILD