Case 92: New Ground Glass in a Patient with a Fibrosing ILD
New ground glass in a patient with a fibrosing ILD with acute worsening is worrisome
Table of Contents
Index and Table of Contents
Technical and Practice Issues * Case 11: 62-years old misdiagnosed to have interstitial lung disease - mid-inspiratory and expiratory scans * Snippet 03: Radiation risk and CT chest * Case 23: 60-years old - 40-pack years smoker - right upper lobe nodule - resolved using “mean” reconstructions…

Previous Case - For all Members till 03 Nov 2023
Case 91: Bubble Lucencies, Central Lucencies, Bubbly Consolidation
Bubble and central lucencies and bubby consolidation are signs that suggest a slew of entities all characterized by differential low densities

Previous Thoracic Thursday Lecture - Non-Resolving Opacity - Free for All
REF-Cafe Roentgen Thoracic Thursday Lecture - XI - 19th Oct 2023: Non-Resolving Opacity
The eleventh lecture of the series

Current Case
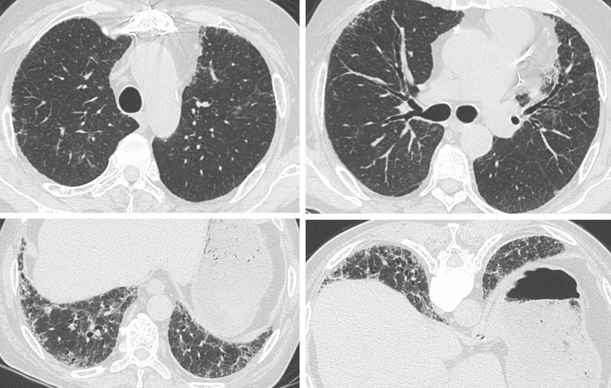
A 67-years old patient presented with gradually progressive breathlessness.
A CT scan was done.

Thoughts?
- Probable UIP/IPF
- Typical UIP/IPF
- Fibrotic hypersensitivity pneumonitis
- Interstitial lung abnormality (ILA)
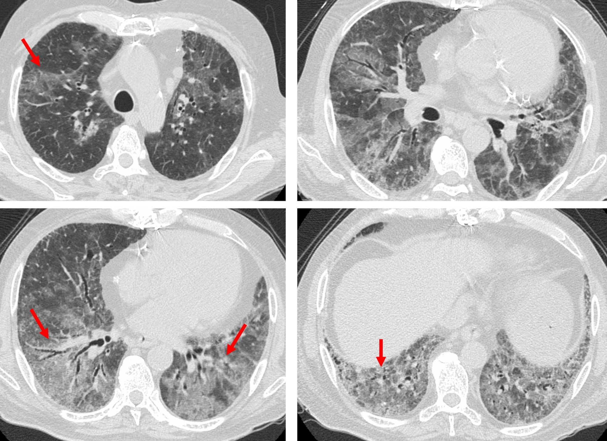
He then presented with acute onset worsening.

Thoughts?
- Acute exacerbation
- Infection
- Medication induced pulmonary injury
- Cardiac failure
The video below discusses this case in detail.
This post is for paying subscribers only
SubscribeAlready have an account? Log in
