Live

CT Chest Cases of Feb 2026 - Five Cases Discussed Using the Osirix Viewer - No Powerpoint Members Public

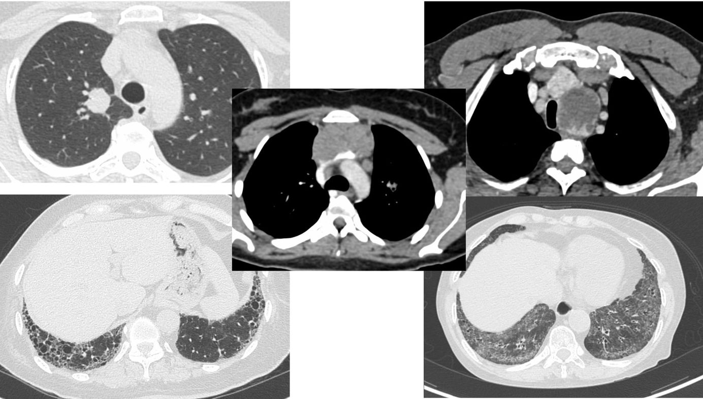
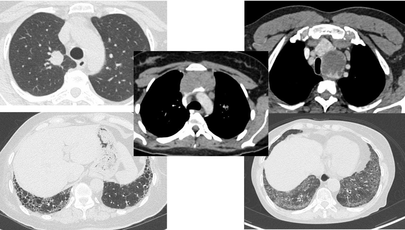
5 cases discussed using Osirix - no Powerpoint.

Bhavin Jankharia
Live