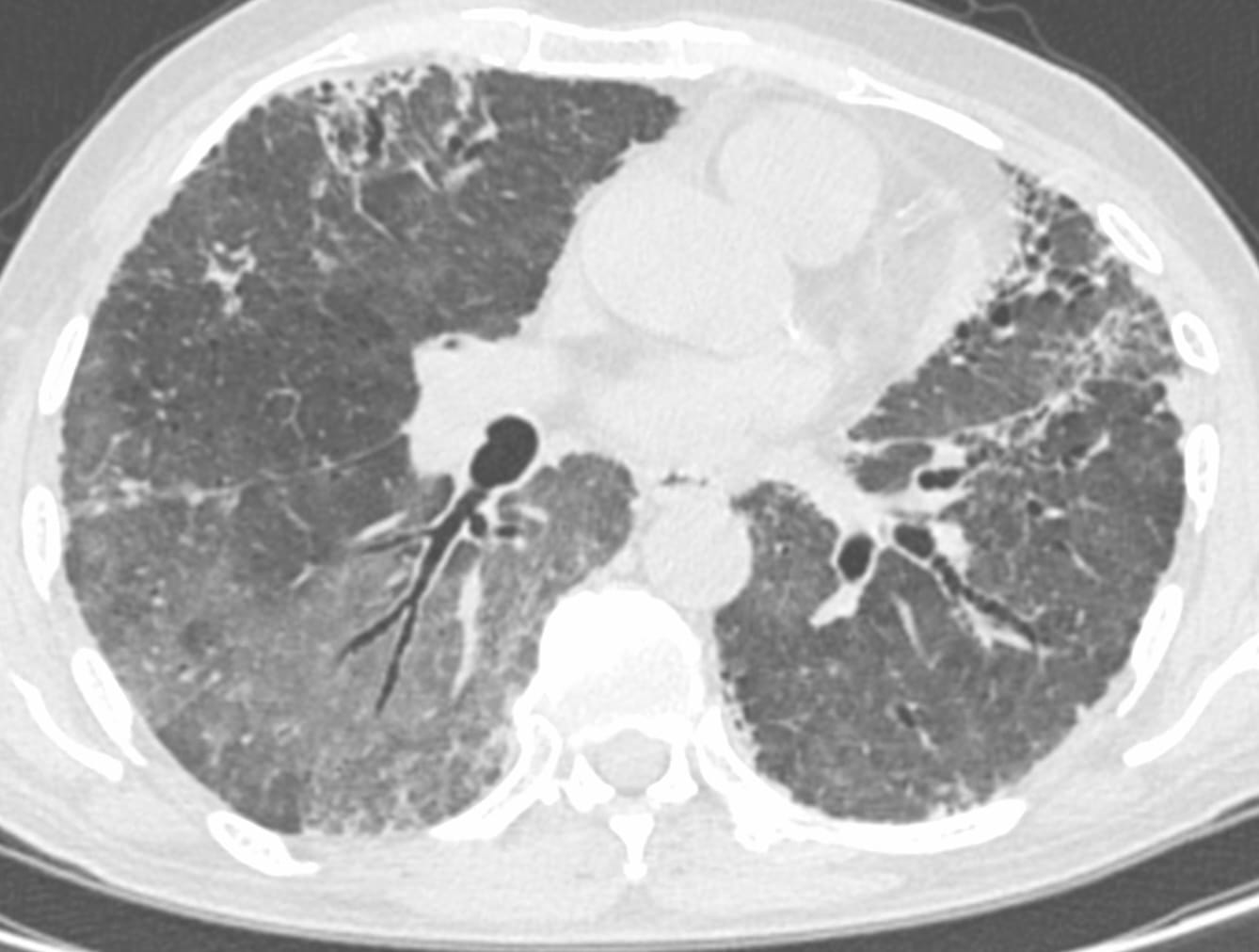
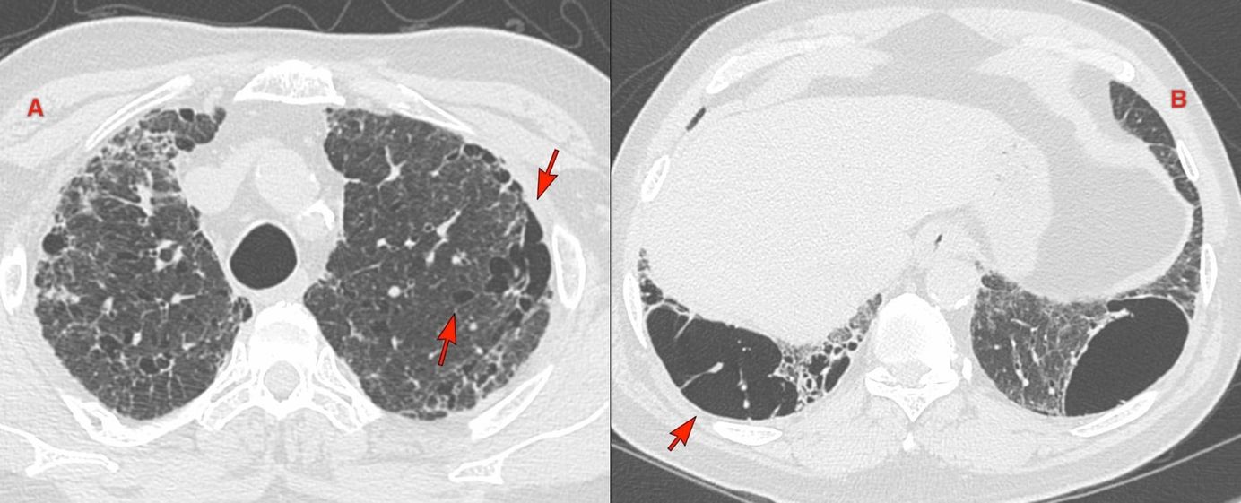
COD 123 - Peridiaphragmatic Inflammation & Fibrosis - PDIF - New CT Sign of Inflammatory Myopathy ILD Members Public

The PDIF sign is basically the presence of a fibrosing ILD typically compacted within the last 2 cm of the peridiaphragmatic lung and may suggest not just CTD-ILD but specifically myositis ILD

Bhavin Jankharia
Interstitial Lung Disease

COD 122 - Mucus Plugs in Asthmatics Members Public

It may be worth mentioning the presence of mucus plugs and whether 4 or more than 4 segments are involved. It does not take much time…maybe 1 minute extra…if you know the patient has asthma.

Bhavin Jankharia
Asthma

COD 118 - ILA of Sequelae - What is the Correct Terminology? Members Public

When faced with indeterminate interstitial lesions, it is a good idea to ask for a COVID-19 history and if present, try and compare with those scans to understand whether the interstitial lesions are sequelae, new lesions or pre-existing prior to the COVID-19 episode

Bhavin Jankharia
ILD

COD 117 - A Progressive Mixed Pattern Preceding the CTD Diagnosis Members Public

Mixed NSIP/OP patterns typically point towards the likelihood of connective tissue disease and should be mentioned in the report

Bhavin Jankharia
ILD

Case of the Day 116 - Mixed Patterns in Connective Tissue Disease ILDs Members Public

Mixed patterns are increasingly being recognized in CTD ILDs and should be mentioned in the report.

Bhavin Jankharia
ILD

Snippet 28: Connective Tissue Disease ILD Patterns Members Public

A discussion of the various patterns seen in CTDs. UIP and variants, NSIP, BIP, LIP, PPFE, OP, mixed and rapidly progressive.

Bhavin Jankharia
ILD

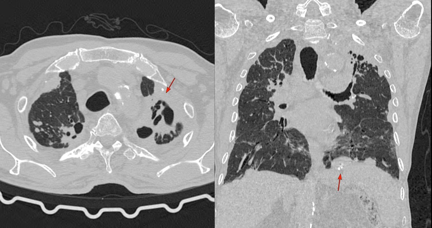
Case of the Day 112 - The Cognitive Bias of Inattentional Blindness Members Public

We need to up our game and pick up all the findings that exist by paying attention to different parts of the chest, scrolling slow and fast and asking ourselves each time whether every area is normal or not

Bhavin Jankharia
Asbestosis

Two Chest Lectures Members Public

Delivered earlier this morning at a local conference CROSSECON 2025

Bhavin Jankharia
Lectures