Case 93: The Asymmetric Chest Wall
Asymmetric chest wall
Table of Contents
Index and Table of Contents
Technical and Practice Issues * Case 11: 62-years old misdiagnosed to have interstitial lung disease - mid-inspiratory and expiratory scans * Snippet 03: Radiation risk and CT chest * Case 23: 60-years old - 40-pack years smoker - right upper lobe nodule - resolved using “mean” reconstructions…

Previous Case
Case 92: New Ground Glass in a Patient with a Fibrosing ILD
New ground glass in a patient with a fibrosing ILD with acute worsening is worrisome

Previous Lecture
Lecture: Lung Cancer Screening in a TB Endemic Country
LDCT in a TB endemic country is feasible despite the increase pick-up of nodules due to old or active TB

Current Case
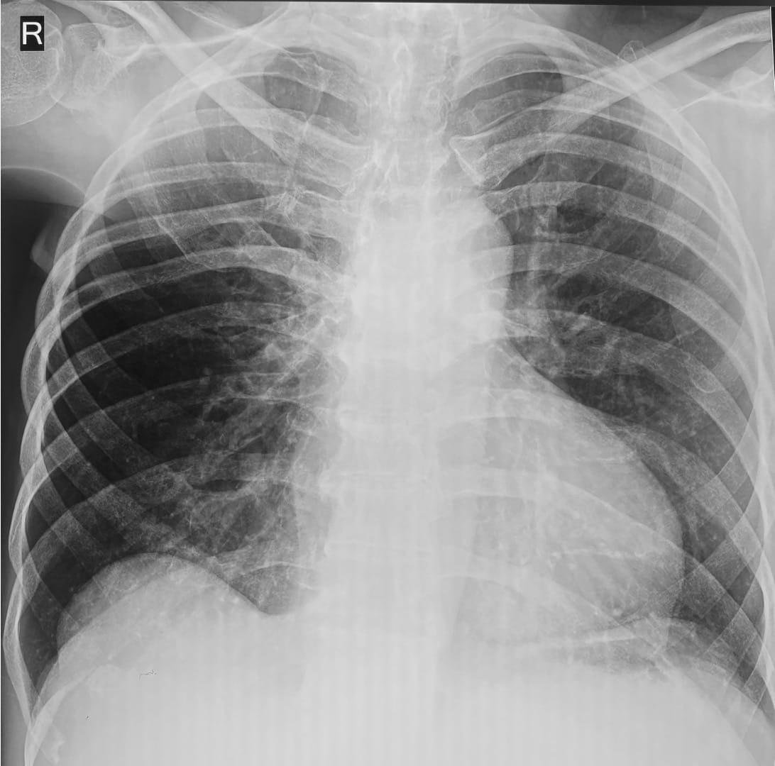
A 67-years old patient presented without any prior diagnosis to a pulmonologist for mild breathlessness. The chest radiograph was unusual.

Thoughts?
- Emphysema
- Right main bronchus obstruction
- Poland syndrome
- Constrictive bronchiolitis
The video below discusses this case in detail.
This post is for paying subscribers only
SubscribeAlready have an account? Log in
