Case 113: Round with a Comet Tail
What do you think is the diagnosis in this patient with a left lower lobe lesion.
New One-Time, Lifetime Subscription
Please check out this page to see the changes in subscription models.
Payment
To make the site more accessible, we have decided to remove the yearly subscription and keep only a one-time, lifetime payment to get access to all content at www.ctchestreview.com and www.ctbiopsy.com. These sites are linked and hence one payment gives access to both sites, but the

Current Post
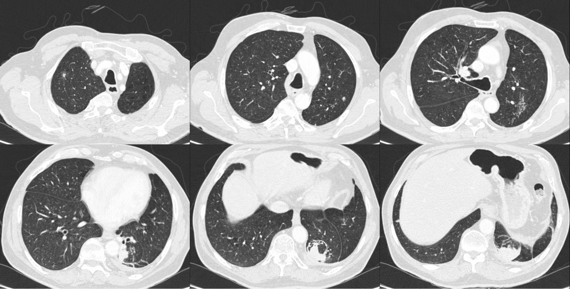
A 74-years old man with a 21 pack years history of smoking presented with fever and weight loss

There are multiple findings in these images. However, he was diagnosed to have a left lower lobe pneumonia.
Do you agree? Or is this something else?
The video discusses the case and all the terminologies associated with a diagnosis of a fungal ball in a cavity
This post is for paying subscribers only
SubscribeAlready have an account? Log in
