COPD

Snippet 27: Airspace Enlargement with Fibrosis (AEF) Members Public

Airspace enlargement with fibrosis (AEF) is a distinct entity where fibrosis within areas of emphysema produces a characteristic appearance in patients with COPD, both in smokers and never-smokers

Bhavin Jankharia
Smoking

Chest Cases of the Day - Cases 66, 73, 74, 75 Members Public

Four recent cases from the Case of the Day series on YouTube

Bhavin Jankharia
Case of the Day

REF-Cafe Roentgen Thoracic Thursday Lecture - IV - 13th July 2023: Non-ILD Diffuse Lung Diseases Members Public

The fourth lecture of the series

Bhavin Jankharia
Bronchiectasis

Case 54: COPD in a Never-Smoker Members Public

COPD can also occur in never-smokers, is common in India and the spectrum of findings should be recognized by radiologists

Bhavin Jankharia
COPD

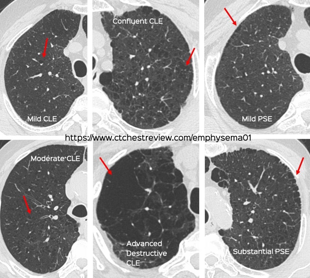
Snippet 12: Visual Classification of Centrilobular and Paraseptal Emphysema Members Public

Visual Classification of Centrilobular and Paraseptal Emphysema

Bhavin Jankharia
Emphysema