Case 103: SFTP
SFTPs can be diagnosed reliably on CT scan as solid enhancing, often incidental asymptomatic, pleural masses that grow slowly with minimal uptake on PET/CT, in the 50-70 years age group.
New One-Time, Lifetime Subscription
Please check out this page to see the changes in subscription models.

Current Post
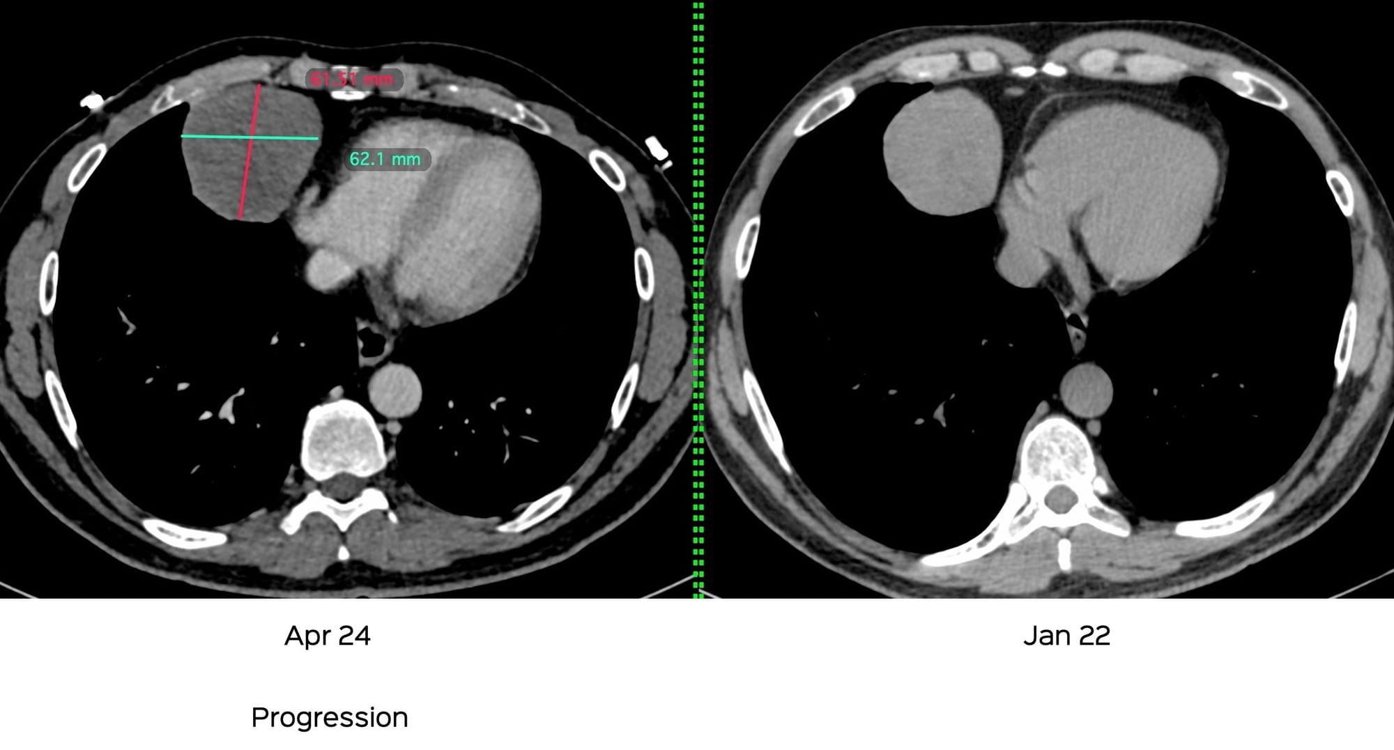
This 53-yrs old man came with an incidental, solid, enhancing medial cardiophrenic angle mass that kept growing over 8 years.

A biopsy was attempted but abandoned due to bleeding. Mortally scared, he did not agree to a biopsy till recently when it had grown even further.

A biopsy was done and the diagnosis was SFTP.
The video discusses the case, the diagnosis, more about SFTP and a short discussion on solid medial cardiophrenic angle masses.
This post is for paying subscribers only
SubscribeAlready have an account? Log in
