Progressive Pulmonary Fibrosis

Post 02 - Progressive Pulmonary Fibrosis (PPF) and Biologic Behavior Members Public

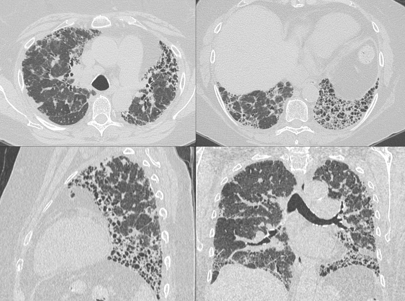
A 10 years story of progressive pulmonary fibrosis in a patient with chronic fibrotic hypersensitivity pneumonitis

Bhavin Jankharia
ILD

Case 100: CT of Covid-19...4 Years and 3 Months Later Members Public

The many faces of Covid-19, 4 years later

Bhavin Jankharia
Covid-19

Snippet 17: How to Diagnose Subtle Progression of Interstitial Lung Disease at the Secondary Pulmonary Lobule Level Members Public

How to look for progression at the secondary pulmonary lobule level, if it is not obvious on routine scrolling

Bhavin Jankharia
Interstitial Lung Disease

Case 58: Progressive Pulmonary Fibrosis - Scleroderma ILD Members Public

Scleroderma ILD, secondary PPFE and progressive pulmonary fibrosis (PPF)

Bhavin Jankharia
ILD