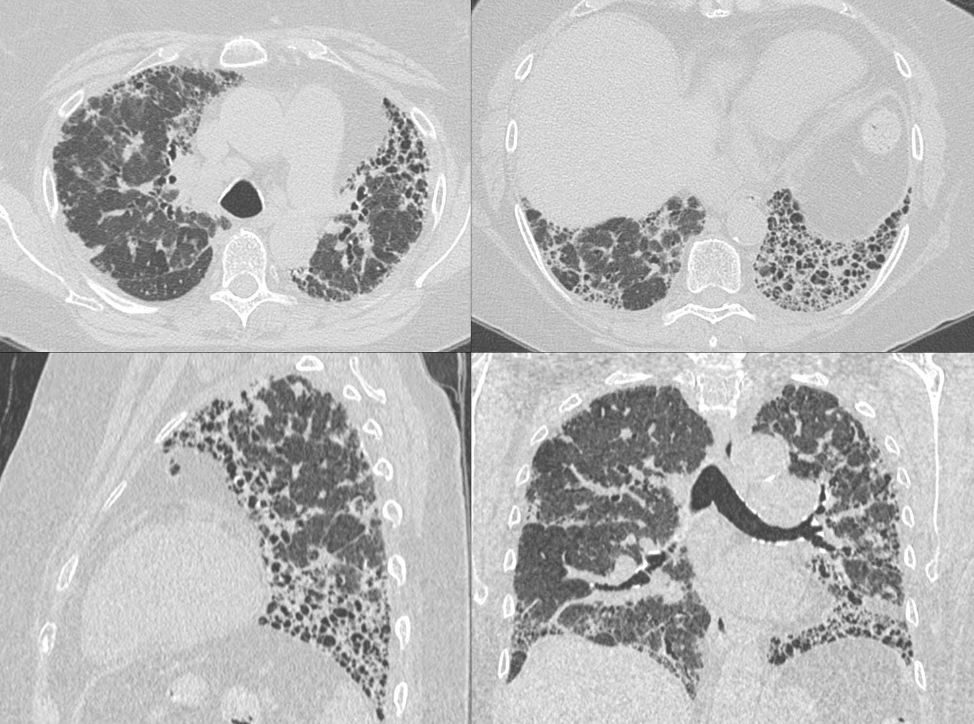
Post 02 - Progressive Pulmonary Fibrosis (PPF) and Biologic Behavior
A 10 years story of progressive pulmonary fibrosis in a patient with chronic fibrotic hypersensitivity pneumonitis
New One-Time, Lifetime Subscription
Please check out this page to see the changes in subscription models.
Payment
To make the site more accessible, we have decided to remove the yearly subscription and keep only a one-time, lifetime payment to get access to all content at www.ctchestreview.com and www.ctbiopsy.com. These sites are linked and hence one payment gives access to both sites, but the

All posts do not have to be videos...sometimes one or two images suffice. My plan is to try and put these up whenever there is something interesting with links to relevant posts, videos, cases of the day, etc. At present, this is only for Paid Subscribers.
Previous Post
Post 01 - New Diffuse Ground Glass in a Fibrosing ILD
New diffuse ground glass in a pre-existing fibrosing ILD

Current Post
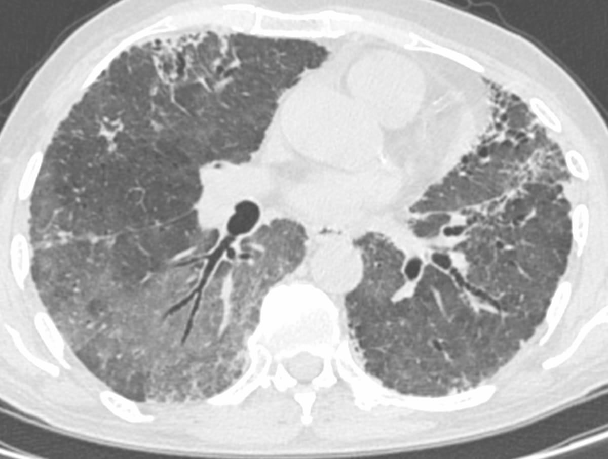
70-years old with a fibrosing ILD that shows a usual interstitial pneumonia (UIP) - like pattern on the left, but a three-density sign on the right suggesting this could be a bronchiolocentric interstitial pneumonia (BIP) pattern, suggestive of fibrotic hypersensitivity pneumonitis, if there is no underlying etiology (Fig. 1).

Similar Cases
Case 85: An Indeterminate Fibrosing ILD and the Power of Old Scans
Old scans are a powerful tool in the diagnosis and management of ILDs

Case 49: The Hexagonal Pattern in Fibrotic Hypersensitivity Pneumonitis
The hexagonal pattern described the presence of confluent perilobular fibrosis in patients with fibrotic hypersensitivity pneumonitis

This post is for paying subscribers only
SubscribeAlready have an account? Log in



