Case 96: When it Runs in the Family
FPF is not uncommon with almost 1/6th of first-degree relatives of sporadic and familial PF showing ILA/ILD
Table of Contents

Previous Post

Current Post
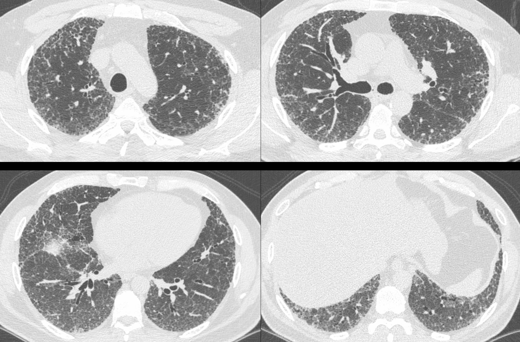
A 52-years old man presented with a probable UIP pattern in 2018.

At this age, this is indistinguisable from a fibrotic NSIP pattern. He was a non-smoker and had no etiology including connective tissue disease (CTD).
He progressed and had a successful lung transplant.
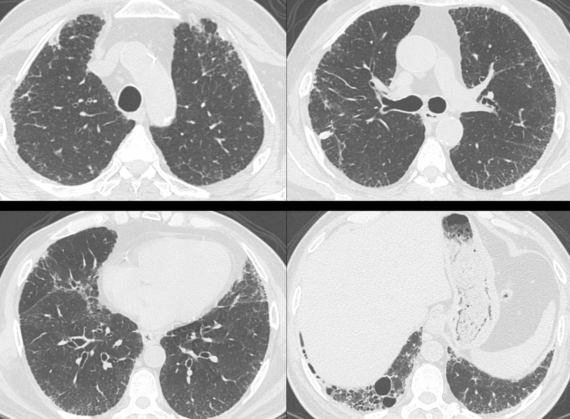
8 years later, his elder brother presented with mild breathlessness and a CT scan shows a typical UIP pattern.

The video runs through both cases and then discusses the findings in a third brother with a detailed discussion of the current concepts related to familial pulmonary fibrosis (FPF).
This post is for paying subscribers only
SubscribeAlready have an account? Log in
