Case 108: Approaching a Patient with PH - It Shouldn’t Be So Difficult!
It is important to look for specific causes of PH in a structured manner on a CTPA
New One-Time, Lifetime Subscription
Please check out this page to see the changes in subscription models.

Current Post
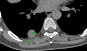
A 26-yrs old had progressive dyspnea. Echo showed severe pulmonary hypertension (PH). Her 4th CTPA was done a year later with us.



Thoughts?
Her earlier 3 CTPAs over a year were reported as normal, except for the dilated MPA, RPA and LPA, with the first one erroneously diagnosing pulmonary thromboembolism.
The video discusses the case, the diagnosis and a practical approach to patients with PH to ensure we don't miss easily diagnosable conditions causing PH.
This post is for paying subscribers only
SubscribeAlready have an account? Log in
