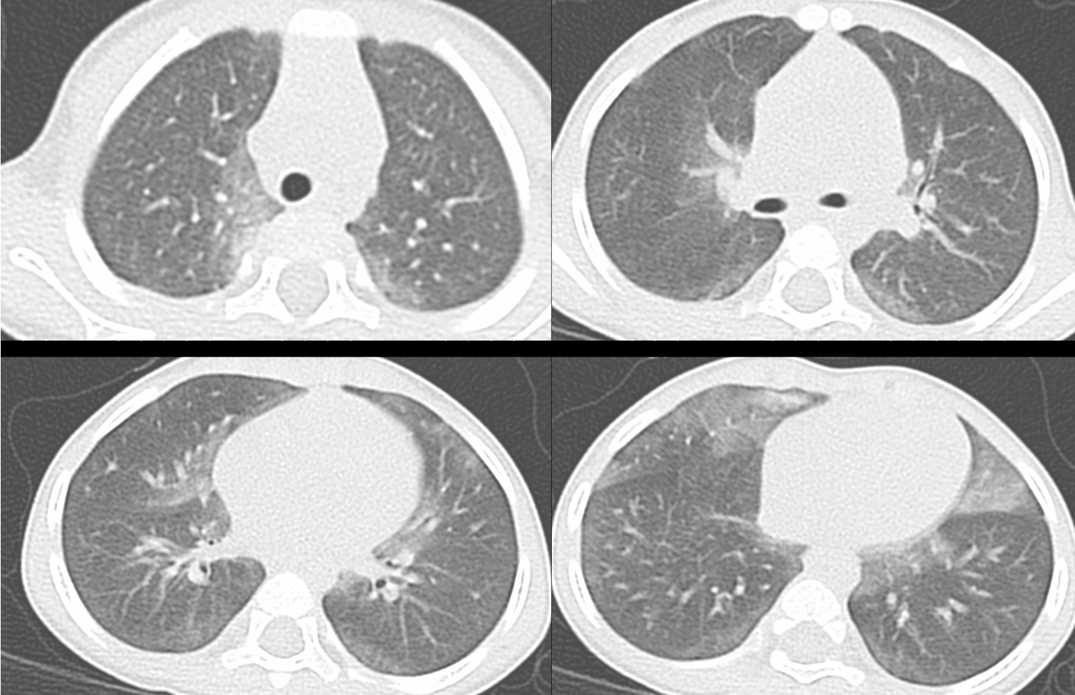
Case 106: A Specific Pattern of Ground Glass in an Infant
Most infants with chILD present with ground glass, which in most instances is non-specific, except in this one condition.
New One-Time, Lifetime Subscription
Please check out this page to see the changes in subscription models.
Payment
To make the site more accessible, we have decided to remove the yearly subscription and keep only a one-time, lifetime payment to get access to all content at www.ctchestreview.com and www.ctbiopsy.com. These sites are linked and hence one payment gives access to both sites, but the

Current Post
A 6 mths old came with dyspnea

Thoughts?
- Neuroendocrine cell hyperplasia of infancy (NEHI)
- Pulmonary interstitial glycogenesis (PIG)
- Surfactant dysfunction
- Hypersensitivity pneumonitis
The video below discusses the CT findings, the differentials, two other cases, the final diagnosis and how to approach such patients.
This post is for paying subscribers only
SubscribeAlready have an account? Log in
