Case 97: How to Identify and Diagnose Miliary TB as a Cause of ARDS
Milary TB can be diagnosed as a cause of ARDS by evaluating the least involved areas, usually the apices
Table of Contents
Index and Table of Contents
Technical and Practice Issues * Case 11: 62-years old misdiagnosed to have interstitial lung disease - mid-inspiratory and expiratory scans * Snippet 03: Radiation risk and CT chest * Case 23: 60-years old - 40-pack years smoker - right upper lobe nodule - resolved using “mean” reconstructions…

Previous Post
Case 96: When it Runs in the Family
FPF is not uncommon with almost 1/6th of first-degree relatives of sporadic and familial PF showing ILA/ILD

Current Post
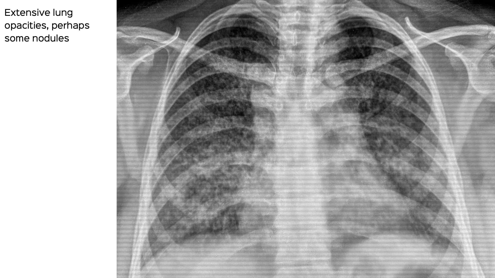
A 38-years old came with acute respiratory failure.
The chest radiograph showed diffuse disease.

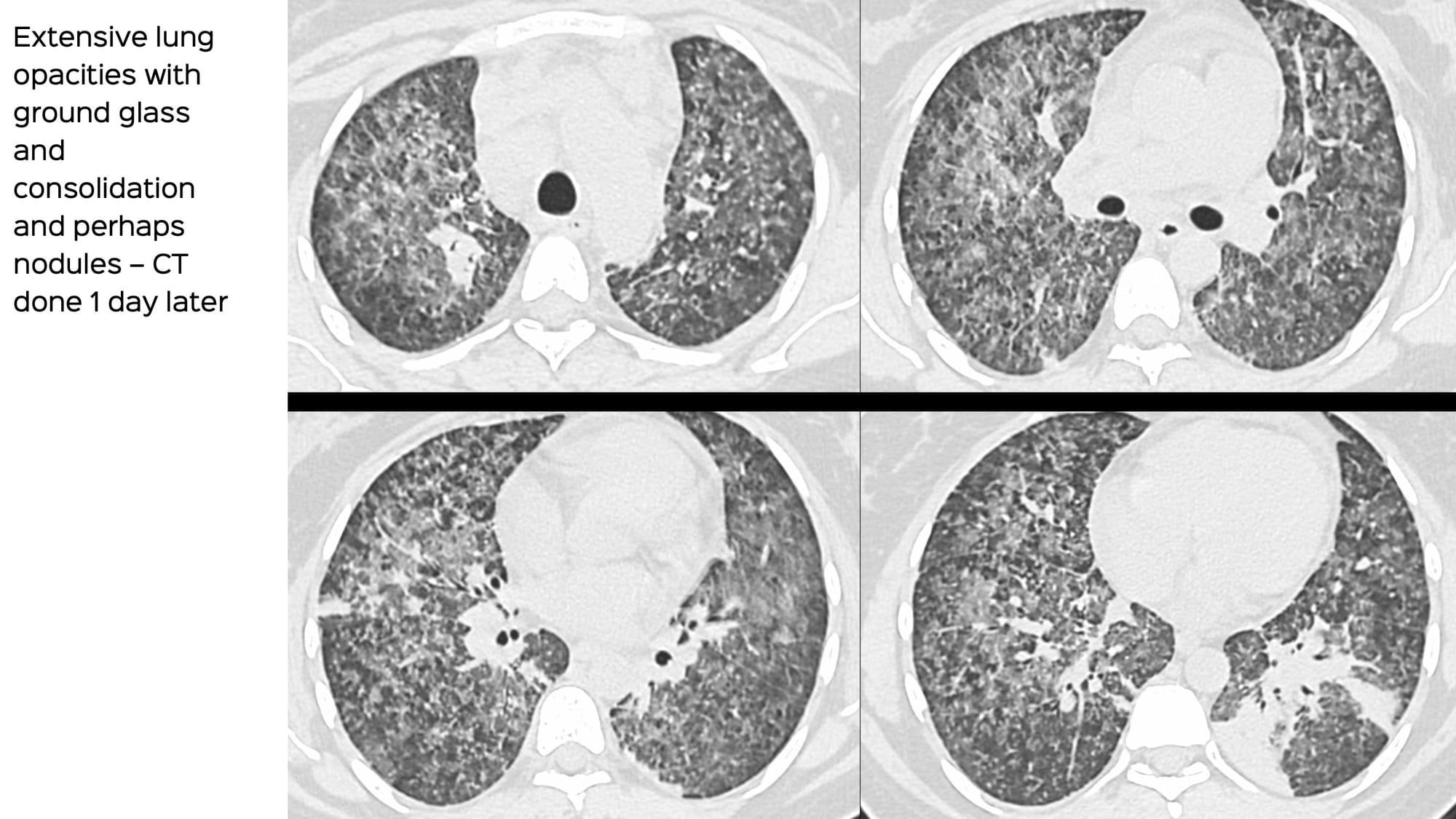
The CT done 1 day later showed diffuse ground glass and focal consolidation.

The least involved areas (the apices) showed classic miliary nodules.

The video discusses this case as well as 3 other cases, including one that was described in Case 84.
This post is for paying subscribers only
SubscribeAlready have an account? Log in
