Case 98: Acute Increased Dyspnea in Idiopathic Pulmonary Fibrosis - First Considerations
A stepwise approach to suspected acute exacerbation in fibrosing ILDs helps in reaching a diagnosis
Table of Contents
Index and Table of Contents
Technical and Practice Issues * Case 11: 62-years old misdiagnosed to have interstitial lung disease - mid-inspiratory and expiratory scans * Snippet 03: Radiation risk and CT chest * Case 23: 60-years old - 40-pack years smoker - right upper lobe nodule - resolved using “mean” reconstructions…

Previous Post
Case 97: How to Identify and Diagnose Miliary TB as a Cause of ARDS
Milary TB can be diagnosed as a cause of ARDS by evaluating the least involved areas, usually the apices

Current Post
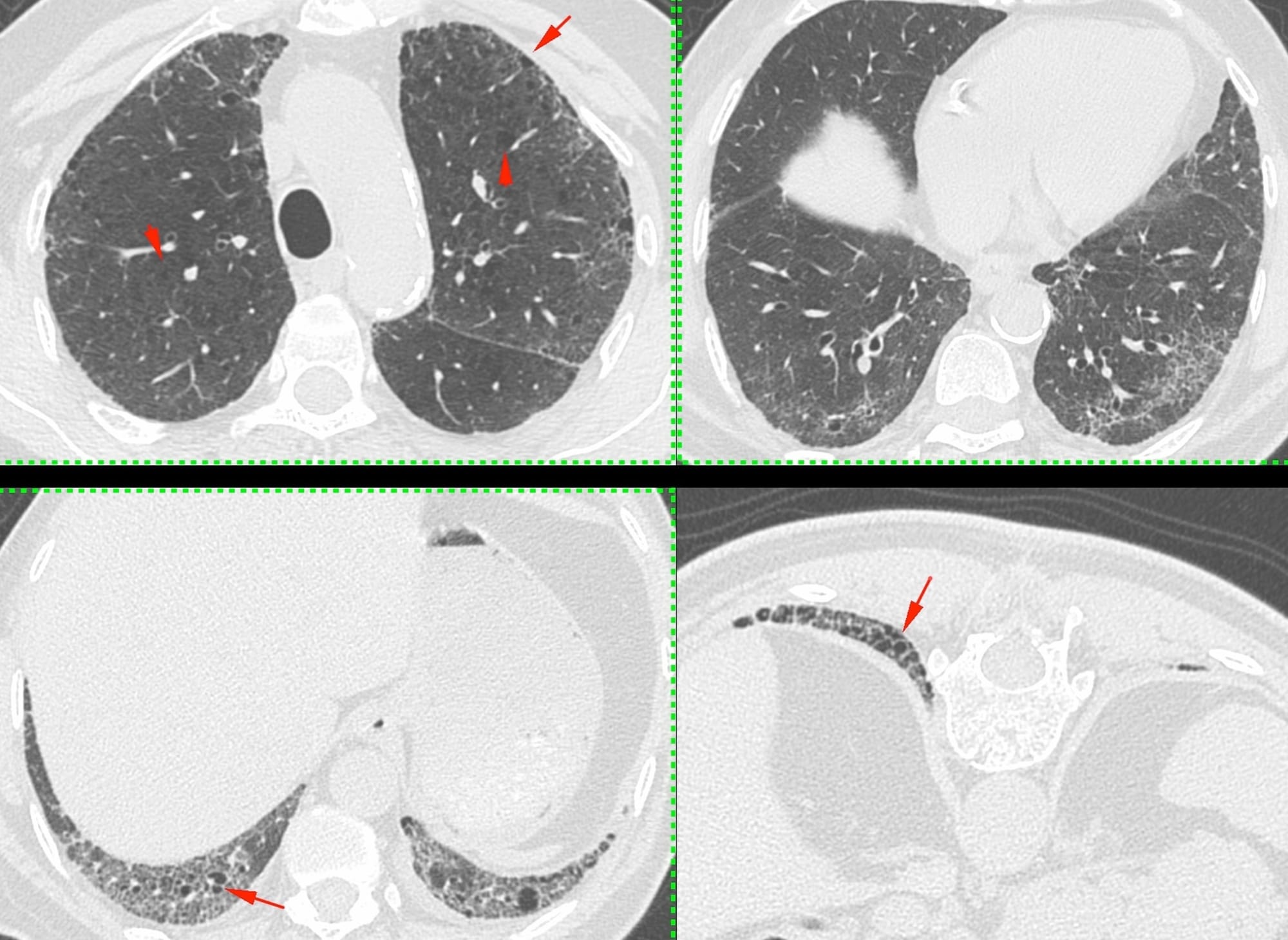
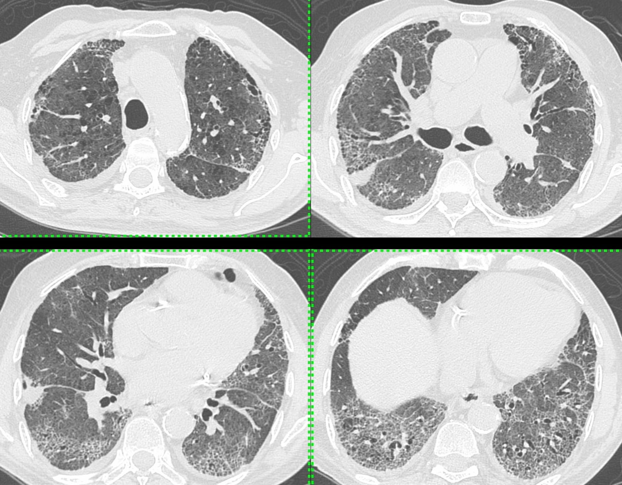
A 69-years old ex-smoker presented with breathlessness in 2020.

He had UIP/IPF.
He progressed over the next 3 years.

One day in 2024, he presented with acute increased dyspnea.

Thoughts?
- Acute exacerbation
- Acute infection
- Pulmonary edema/cardiac failure?
The video below discusses this case and the final outcome.
This post is for paying subscribers only
SubscribeAlready have an account? Log in
