Lecture: Lung Cancer Screening in a TB Endemic Country - A Radiologist's Perspective
It is unlikely that the presence of TB in endemic countries will affect the utility of LDCT for cancer detection in smokers, as long as the radiologists and pulmonologists have good interpretation skills and these patients are managed in a multidisciplinary setting
New One-Time, Lifetime Subscription
Please check out this page to see the changes in subscription models.

Current Post
This is a lecture I delivered on 08 Feb 2025 in an oncology meeting. It builds on my previous talks and cases on LDCT.



These 3 posts and videos are available for free, but you will need to subscribe with your email ID to access them. The links are below.
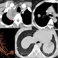
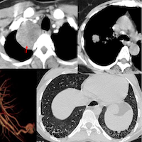
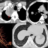
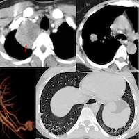
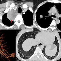
The main focus of the lecture is the pickup of active latent, asymptomatic lesions in smokers that turn out to be TB lesions that need treatment - are these false positives or are these part of the process of picking up nodules that need treatment, whether cancer or TB?

The lecture below is about 12 mins.
Previous Post

CT Chest Review Newsletter
Join the newsletter to receive the latest updates in your inbox.




