Case of the Day 187 - Stone in the Bronchus
All about broncholiths
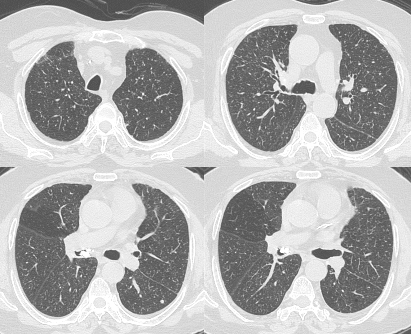
71-years old man with fever.
CT shows miliary nodules likely due to miliary tuberculosis.

It also shows a calcified subcarinal node extending into the intermediate bronchus.

This post is for paying subscribers only
SubscribeAlready have an account? Log in