Post 07 - Asbestos Pleural Disease with Tuberculosis
When two diseases coexist
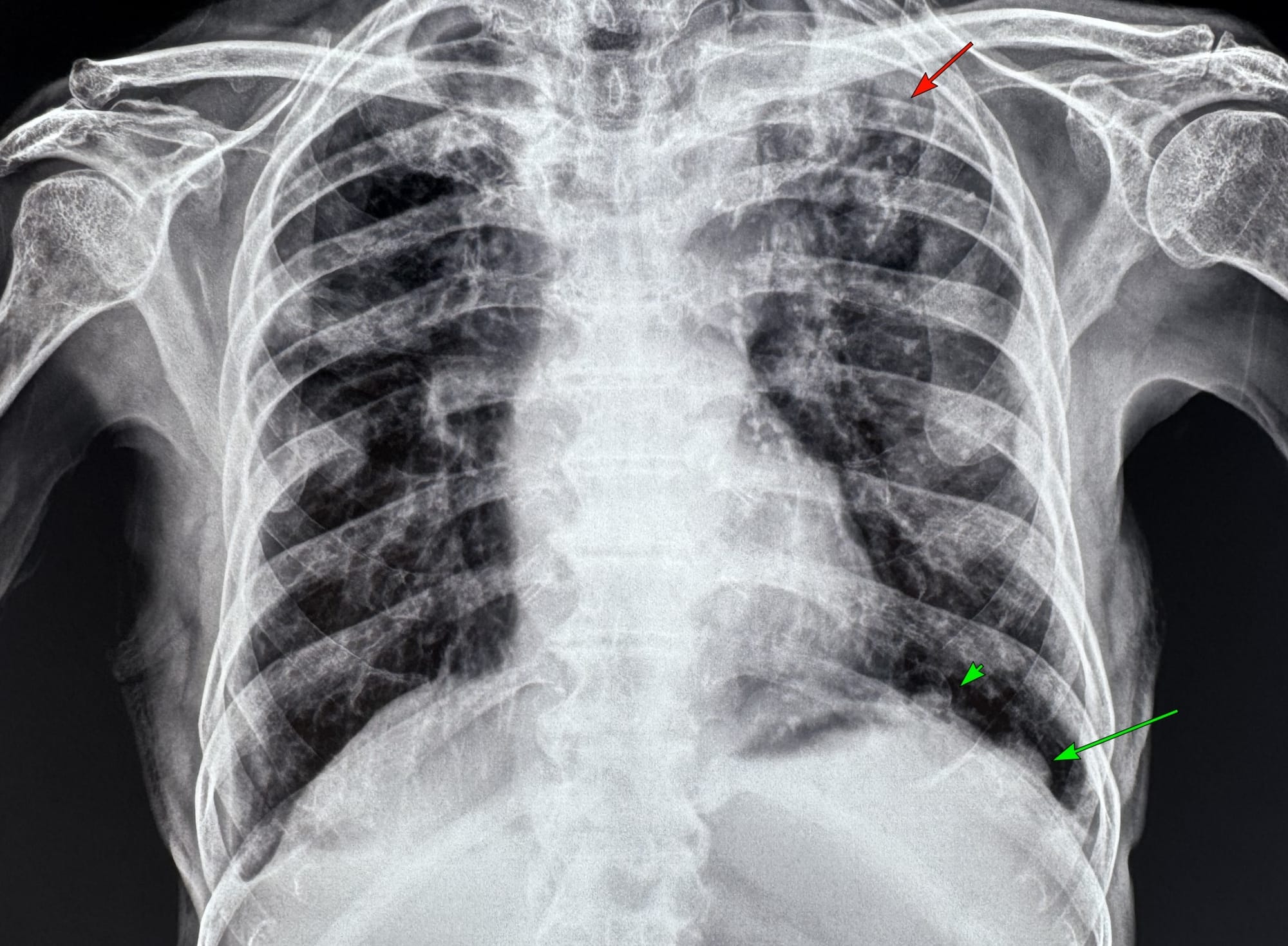
77-year-old man presented for an opinion with pleural plaques (green arrows) and upper lobe fibronodular lesions (red arrow) on a radiograph

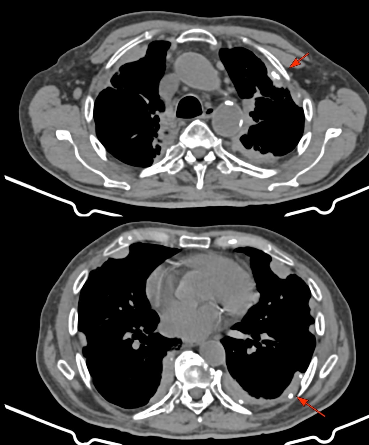
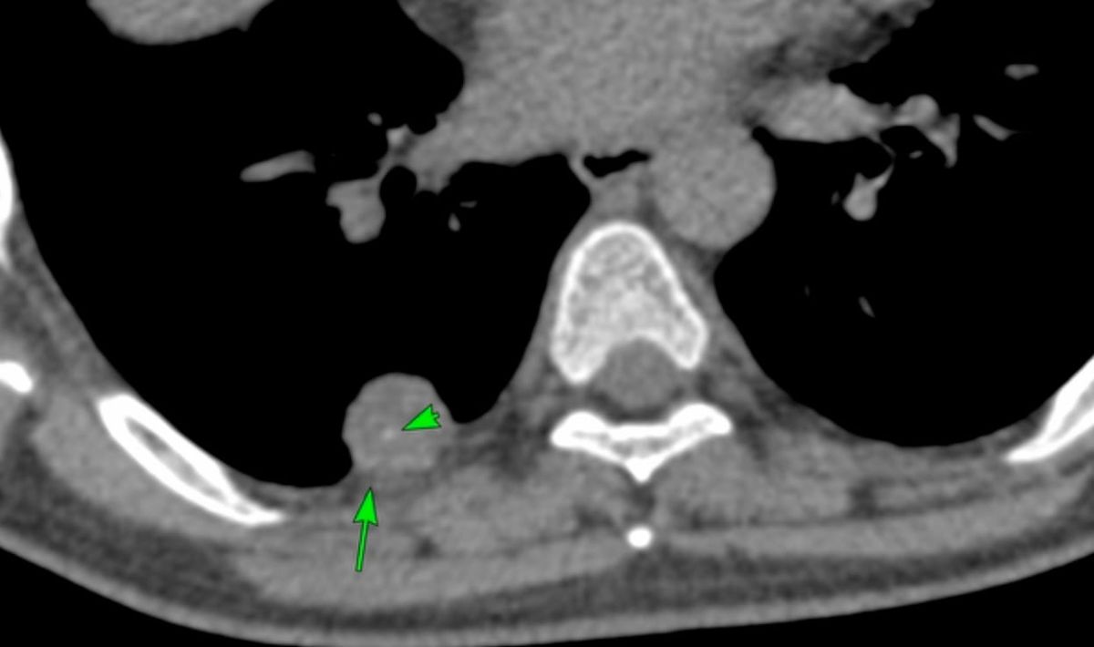
The CT scan showed extensive pleural plaques (arrows), some calcified, some not.

This is characteristic asbestos exposure related pleural disease.
On extensive questioning, the son said that he worked for almost 30 years, from age 25 in the ship building and ship breaking industry which confirmed the asbestos exposure.
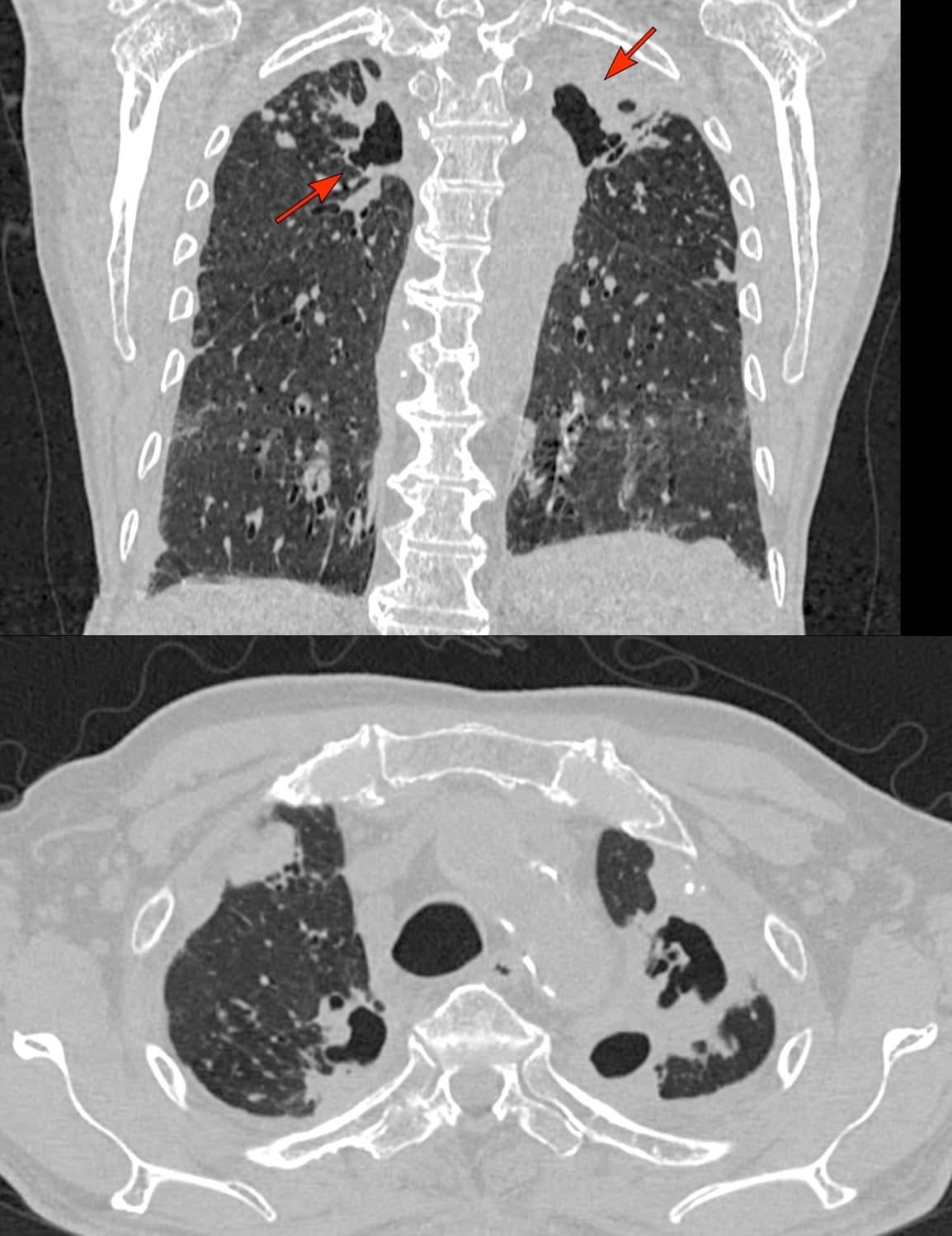
He also had coexistent resolving tuberculosis (on AKT) with fibrocystic and fibrocavitary lesions in the upper lobes (arrows).

More about Asbestosis
Case 113: 74-years old - asbestos exposure - pleural plaques with rounded atelectasis

Case of the Day 095: 55-years old - asbestos exposure - early/mild asbestosis with subpleural bands/lines
Case of the Day 112: 82-years old - asbestos exposure - calcified pleural plaques
Index and Table of Contents
116 Cases with Videos
7 Cases with Posts
30 Snippets
16 Lectures
31 Cases of the Day (CODs)
New Series - ILD Patterns (2 Done)

New One-Time, Lifetime Subscription
Please check out this page to see the changes in subscription models.

Previous Posts:


CT Chest Review Newsletter
Join the newsletter to receive the latest updates in your inbox.
