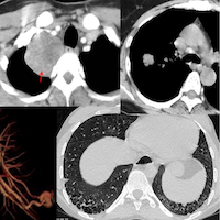
Case of the Day 112 - The Cognitive Bias of Inattentional Blindness

We need to up our game and pick up all the findings that exist by paying attention to different parts of the chest, scrolling slow and fast and asking ourselves each time whether every area is normal or not

Bhavin Jankharia

This post is for paying subscribers only

Subscribe

Already have an account? Log in