ILD

Case 70: Concretions in the Lungs Members Public

Concretions in the lungs

Bhavin Jankharia
ILD

Case 59: Immune Checkpoint Inhibitor - Nivolumab - Lung Injury / ILD and Recognizing Pre-Existing ILA/ILD Members Public

Immune checkpoint inhibitor lung injury is not uncommon and needs to be recognized

Bhavin Jankharia
MIPI

Case 58: Progressive Pulmonary Fibrosis - Scleroderma ILD Members Public

Scleroderma ILD, secondary PPFE and progressive pulmonary fibrosis (PPF)

Bhavin Jankharia
ILD

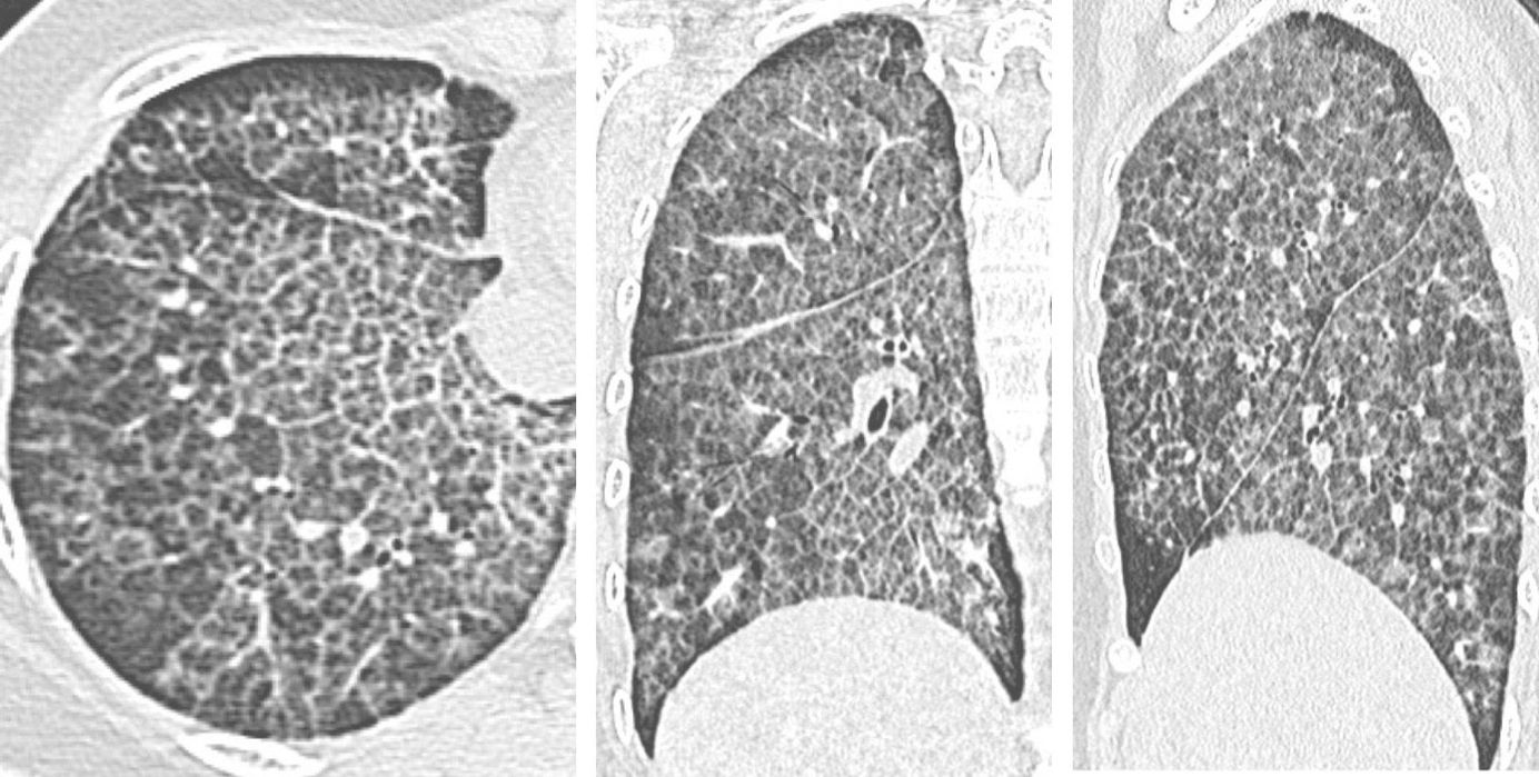
Case 49: The Hexagonal Pattern in Fibrotic Hypersensitivity Pneumonitis Members Public

The hexagonal pattern described the presence of confluent perilobular fibrosis in patients with fibrotic hypersensitivity pneumonitis

Bhavin Jankharia
Hypersensitivity Pneumonitis

Case 36: Gradually, then Suddenly. ILA to ILD Members Public

Gradually, then suddenly. ILA to ILD

Bhavin Jankharia
ILA

Case 26 - 16-Years Old with Progressive Breathlessness Members Public

16-years old girl with subacute onset progressive breathlessness and a crazy-paving pattern on CT. Free to view till 13th September, but you need to subscribe with your email ID.

Bhavin Jankharia
ILD

Snippet 09: Variant Fibrosis Members Public

Variants fibrosis - fibrosis patterns that suggest CTD-ILD with two new signs "island-like fibrosis" and "heterogeneous lung destruction".

Bhavin Jankharia
ILD

Snippet 07: CT Signs Suggesting a CTD-ILD Members Public

CT scan signs that strongly suggest the likelihood of an underlying connective tissue disease

Bhavin Jankharia
Connective Tissue Disease