Interstitial Lung Disease
Case 39: Upper Lobe Subpleural Fibrosis Paid Members Public
27-years old with progressive upper lobe subpleural fibrosis
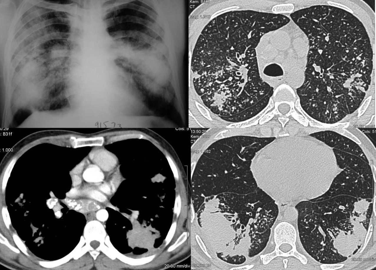
Case 32: Covid-19 - 16.5 Months Follow-Up, Review of Follow-Up Articles and Summary of General Trends Paid Members Public
16 1/2 months follow-up of Covid-19 and other learnings
Case 30: The Story of the Samosa-Wrap Worker Paid Members Public
51-years old man with dyspnea, gradually progressive, working as a samosa-wrap worker in Dharavi
Case 29: The Slow Long Burn of Sarcoidosis Paid Members Public
The changing patterns of disease over 16 1/2 years in this patient with biopsy proven sarcoidosis
Snippet 07: CT Signs Suggesting a CTD-ILD Paid Members Public
CT scan signs that strongly suggest the likelihood of an underlying connective tissue disease
Snippet 06: Six Fibrosing ILD Questions Paid Members Public
Six questions that help us understand ILDs
Snippet 04: Fibrotic NSIP vs Probable UIP Paid Members Public
A flow-chart to help differentiate between NSIP and probable UIP - a commonly asked question
Case 14: Covid-19 Angiopathy with Perfusion Defects at 3 Weeks Paid Members Public
3 1/2 weeks after a diagnosis of Covid-19, the lungs show extensive perfusion defects without pulmonary thrombosis