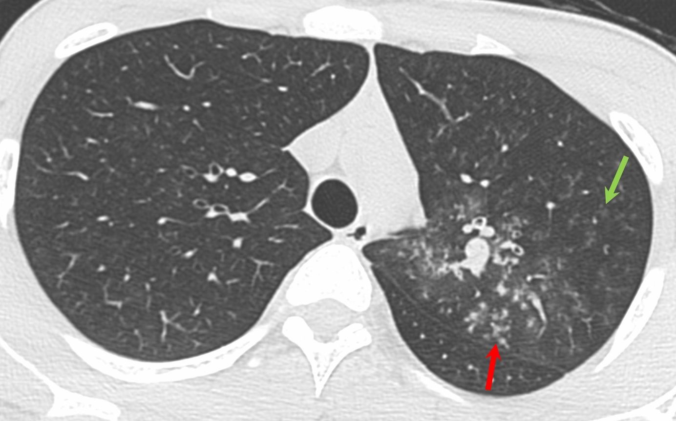
Case 17: Tuberculosis and Hemoptysis - Dense and Soft Centrilobular Nodules Together Members Public

17-years old with tuberculosis and hemoptysis - dense and soft centrilobular nodules together.

Bhavin Jankharia
Tuberculosis

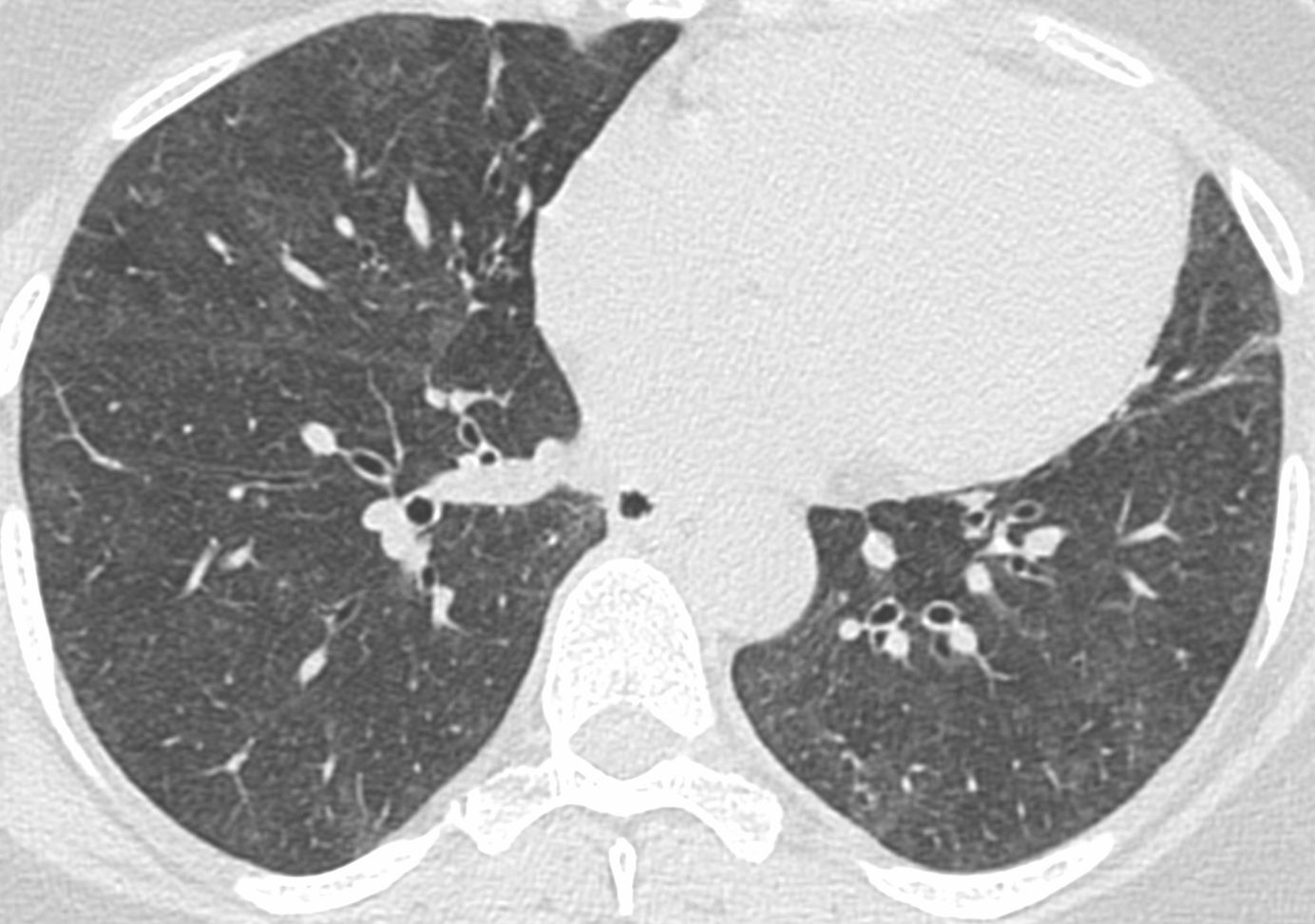
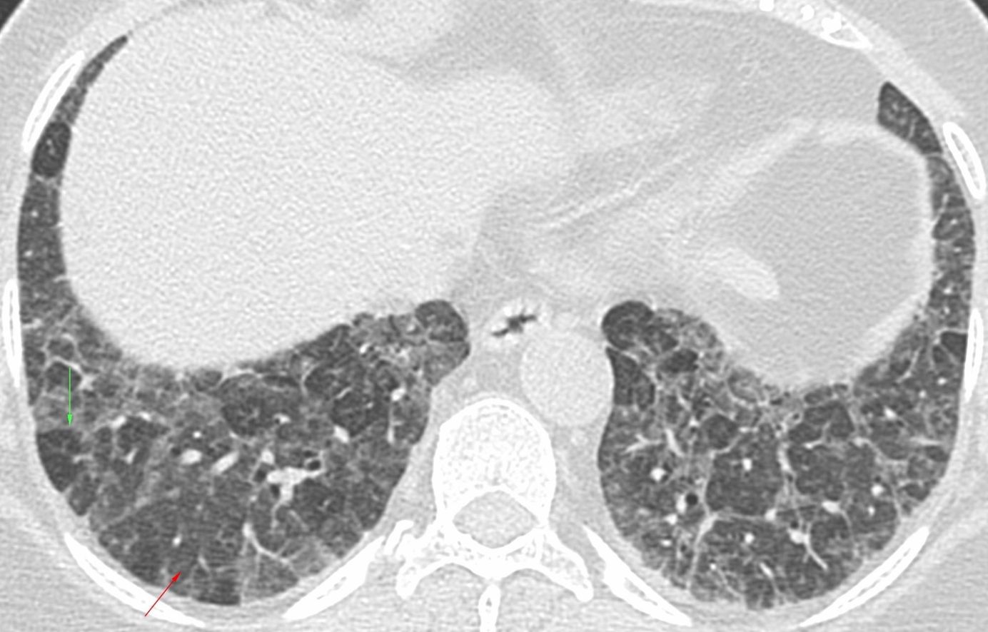
Case 16: 56 years old with fever, breathlessness and ground glass on CT Members Public

56 years old with fever, dyspnea ground glass. The case and video describe the approach and final diagnosis.

Bhavin Jankharia
ILD

Snippet 05: Hypersensitivity Pneumonitis - New Classification Members Public

How to diagnosis fibrotic and nonfibrotic hypersensitivity pneumonitis based on the Aug 2020 ATS/JRS/ALAT clinical practice guidelines.

Bhavin Jankharia
ILD

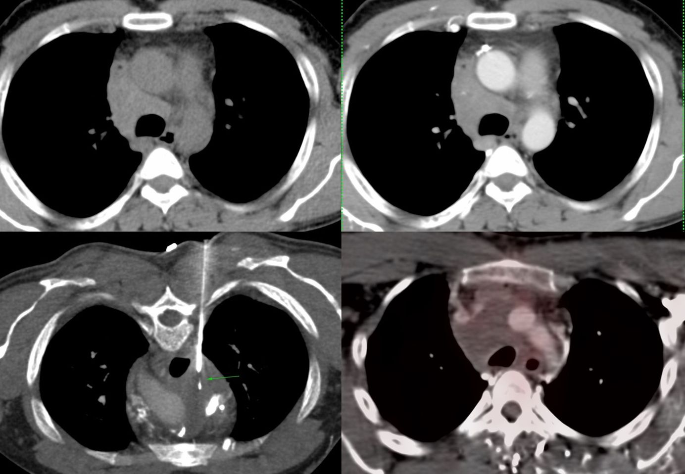
Case 15: The Many Faces of Mediastinal Fibrosis Members Public

A case of mediastinal fibrosis, hyperdense on plain CT with SVC involvement and hard on biopsy with a discussion of different types and other cases.

Bhavin Jankharia
Mediastinal Fibrosis

Snippet 04: Fibrotic NSIP vs Probable UIP Members Public

A flow-chart to help differentiate between NSIP and probable UIP - a commonly asked question

Bhavin Jankharia
Interstitial Lung Disease

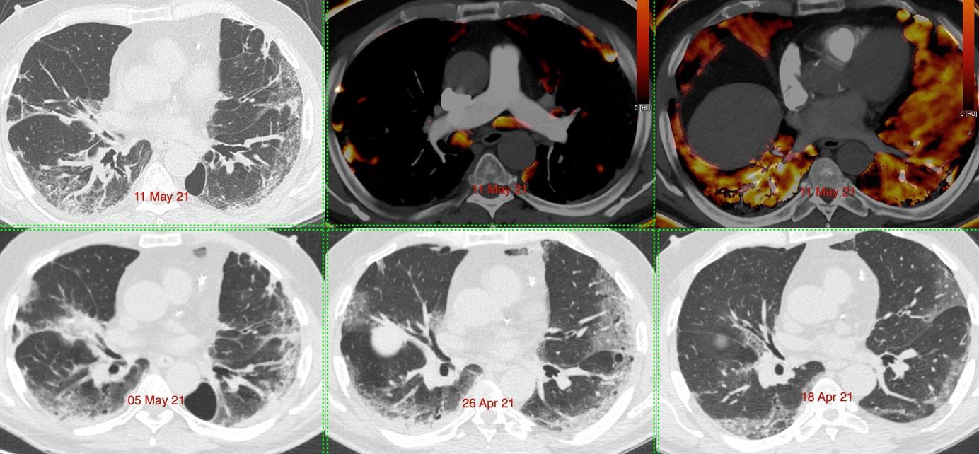
Case 14: Covid-19 Angiopathy with Perfusion Defects at 3 Weeks Members Public

3 1/2 weeks after a diagnosis of Covid-19, the lungs show extensive perfusion defects without pulmonary thrombosis

Bhavin Jankharia
Covid-19

Snippet 03: Radiation Risk and CT Scan of the Chest Members Public

126 years after the discovery of X-rays, there is no definitive data that radiation from CT scans increases the future risk of cancer.

Bhavin Jankharia
Radiation

Case 13: Hyperlucent Hemithorax in a 3-Years Old Members Public

Hyperlucent hemithorax in a 3-years old

Bhavin Jankharia
Pediatric