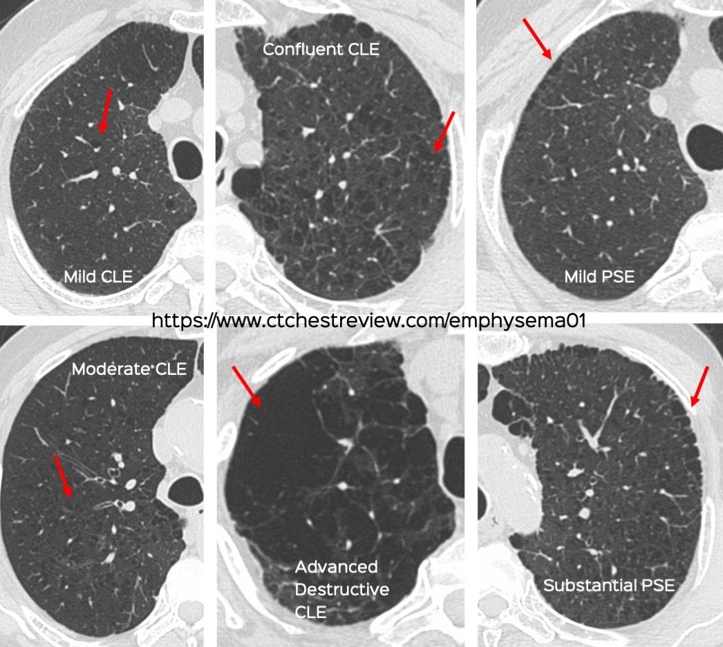
Case 67: Syndrome of Combined Pulmonary Fibrosis and Emphysema (CPFE) – Official ATS/ERS/JRS/ALAT Research Statement
The statement helps align research and clinical definitions of CPFE
Updated ToC / Index
Check out the ToC that I created last week.

The official research statement on combined pulmonary fibrosis and emphysema (CPFE) was published last week. It has definitions to help us diagnose CPFE from a research perspective as well as clinically.
The video explains the salient features of the statement using a 69-years old 50-pack years smoker as an example.
There is also a new native Comments section, if you would like to comment
Other Related Cases



Other Cases



CT Chest Review Newsletter
Join the newsletter to receive the latest updates in your inbox.



