Snippet 02: Centrilobular / Bronchocentric Nodules Members Public

A short discussion on centrilobular / bronchocentric nodules - how to diagnosis and characterize.

Bhavin Jankharia
Interstitial Lung Disease

Snippet 01: Differentiating Traction Bronchiectasis from Honeycombing Members Public

Many radiologists & physicians have difficulty differentiating traction bronchiectasis from honeycombing. The post and video explain how to do this.

Bhavin Jankharia
Interstitial Lung Disease

CT Chest for Covid-19 - Indications - Position Statement / White Paper from Society of Chest Imaging & Intervention - SCII Members Public

Position / white paper from the Society of Chest Imaging and Intervention (SCII) on the use of CT scan in Covid-19

Bhavin Jankharia
Covid-19

Case 12: Tropical Pulmonary Eosinophilia Members Public

How to suspect tropical pulmonary eosinophilia in acute/subacute settings with diffuse lung disease, especially ill-defined bronchocentric nodules.

Bhavin Jankharia
Interstitial Lung Disease

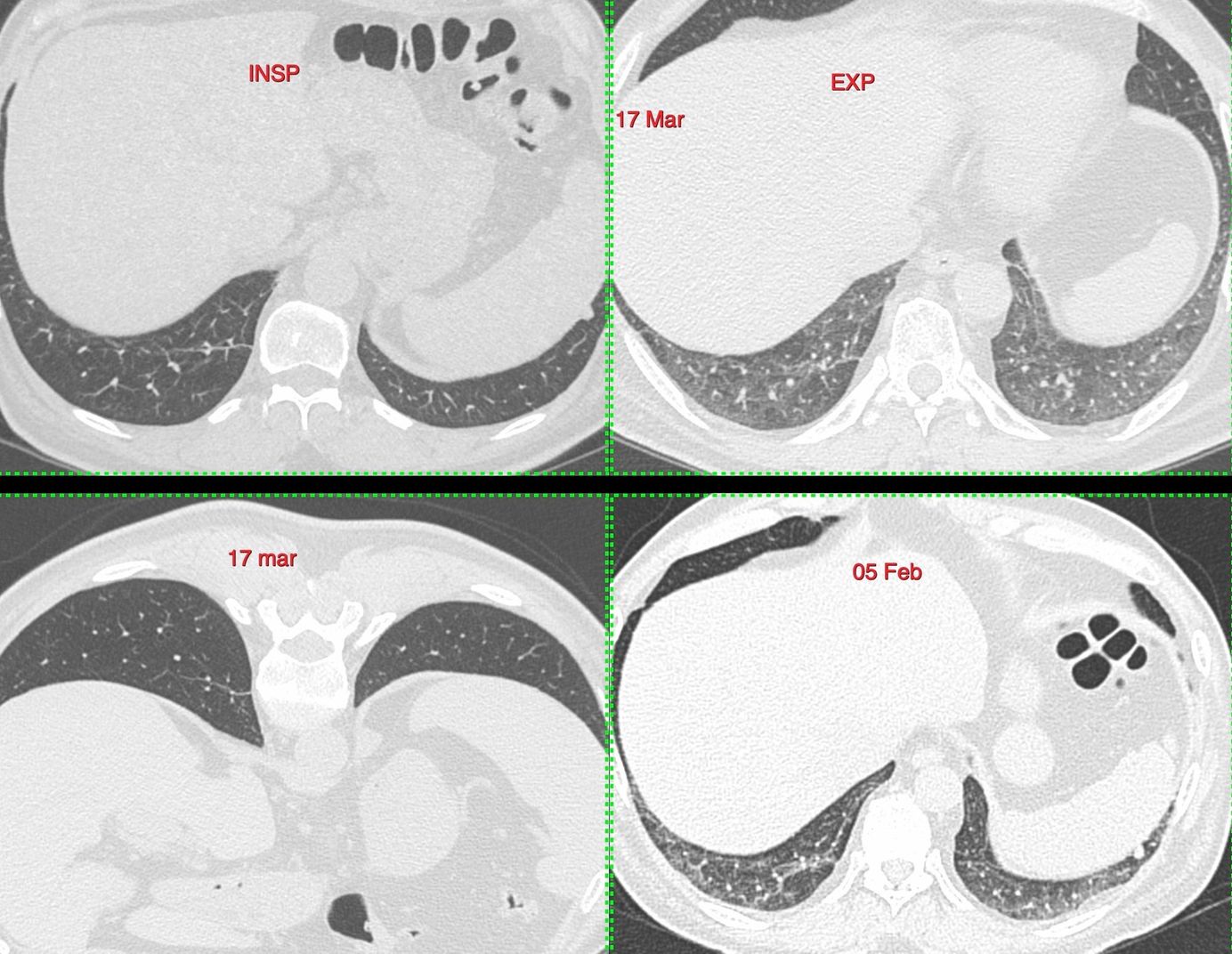
Case 11: The Tragi-Comic Consequences of a Poor Quality Scan Members Public

62-years old man diagnosed to have Covid-19 on an expiratory scan CT scan and the consequences thereafter. It is necessary to have a supine inspiratory scan at the least in all patients if expiratory and prone are not possible.

Bhavin Jankharia
Scan Protocol

Case 10: Non-Resolving Progressive Opacities, Organizing Pneumonia and a Diagnosis After 3 Years Members Public

67-years old lady who presented in 2017 with an organizing pneumonia (OP) pattern, and then 3 years later with significant progression

Bhavin Jankharia
Interstitial Lung Disease

Case 9: Non-Resolving Consolidation and Multifocal Opacities Members Public

64-years old with a non-resolving consolidation and multifocal opacities who finally had a confirmed diagnosis of invasive mucinous adenocarcinoma.

Bhavin Jankharia
Non-Resolving Consolidation

Case 8: Rupture of a Mediastinal Node into the Lung Members Public

14-years old girl with a large, tuberculous, necrotic right paratracheal mediastinal node that ruptured into the lung.

Bhavin Jankharia
Mediastinum