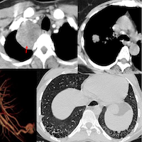
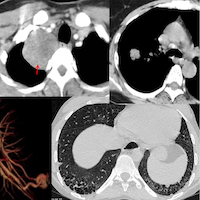
COD 141 - Cartilage in the Lung
A large mass that bent the needle during biopsy and turned out to be cartilage
72-years old with a 3 cm plus mass in the right upper lobe came for a biopsy.
The mass was hard and the 18G BARD biopsy gun bent within the mass.
The final diagnosis was chondroid hamartoma. The video discusses the case, the histopath appearance and shows other similar cases.
To know each time a new post is up
Video
Other Similar Posts
Case 104: Popcorn is the Classic Appearance, but Not Always
Some lung nodules such as hamartomas have a characteristic appearance and can be easily diagnosed on CT scan

Previous Posts:
COD 138 - Epicardial and Pericardial Adipose Tissue
The correct terminology of epicardial vs pericardial adipose tissue versus fat pads

CT Chest Review Newsletter
Join the newsletter to receive the latest updates in your inbox.

