Post 02 - Progressive Pulmonary Fibrosis (PPF) and Biologic Behavior
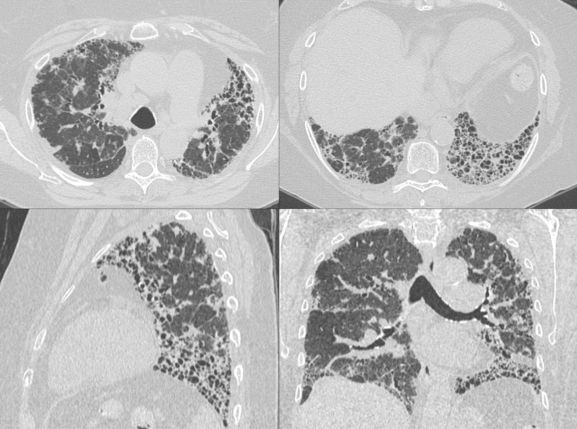
A 10 years story of progressive pulmonary fibrosis in a patient with chronic fibrotic hypersensitivity pneumonitis
New One-Time, Lifetime Subscription
Please check out this page to see the changes in subscription models.

All posts do not have to be videos...sometimes one or two images suffice. My plan is to try and put these up whenever there is something interesting with links to relevant posts, videos, cases of the day, etc. At present, this is only for Paid Subscribers.
Previous Post

Current Post
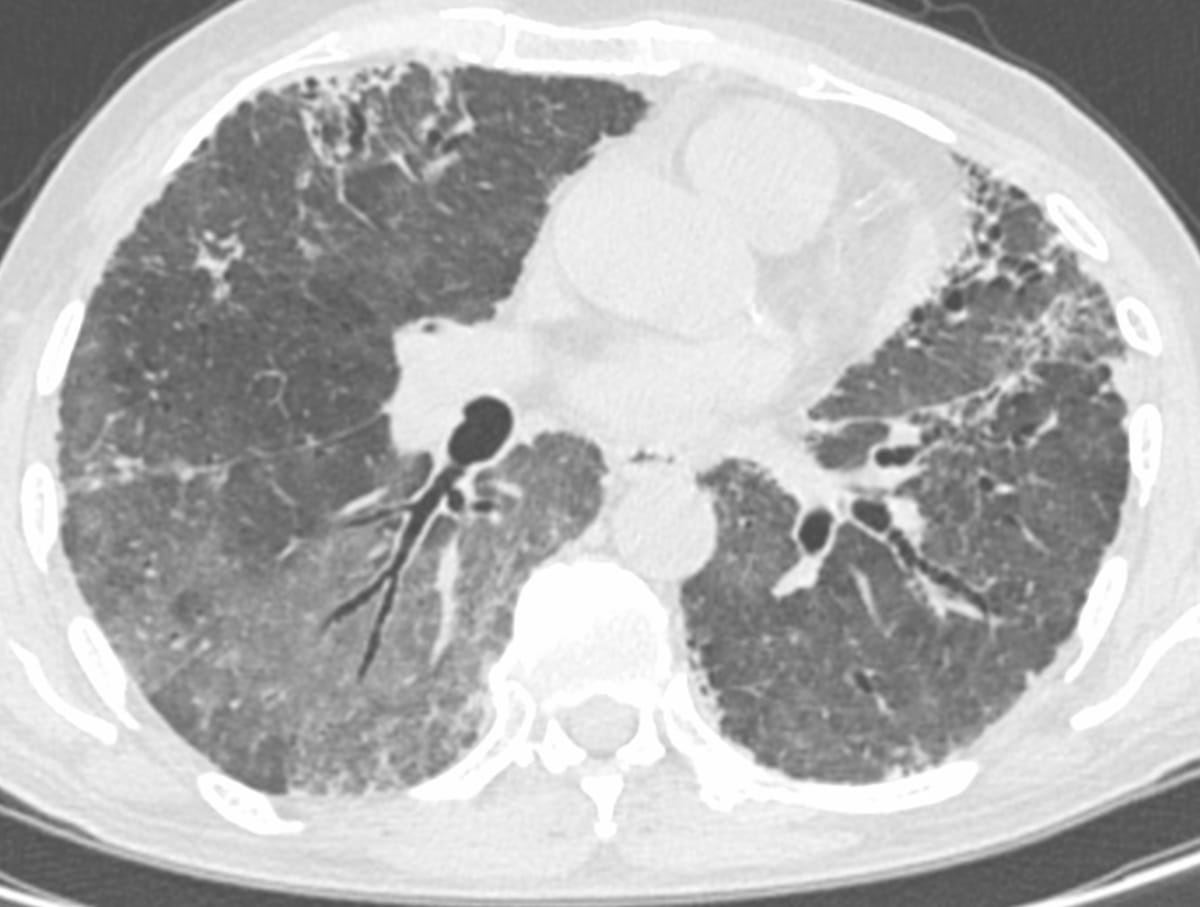
70-years old with a fibrosing ILD that shows a usual interstitial pneumonia (UIP) - like pattern on the left, but a three-density sign on the right suggesting this could be a bronchiolocentric interstitial pneumonia (BIP) pattern, suggestive of fibrotic hypersensitivity pneumonitis, if there is no underlying etiology (Fig. 1).

Similar Cases


This post is for paying subscribers only
SubscribeAlready have an account? Log in



