Case 7: UIP/IPF with a Superimposed Lung Complication Members Public

75-years old man with UIP IPF and a superimposed > 20 mm lung nodule that was biopsied and turned out to be squamous cell carcinoma.

Bhavin Jankharia
Interstitial Lung Disease

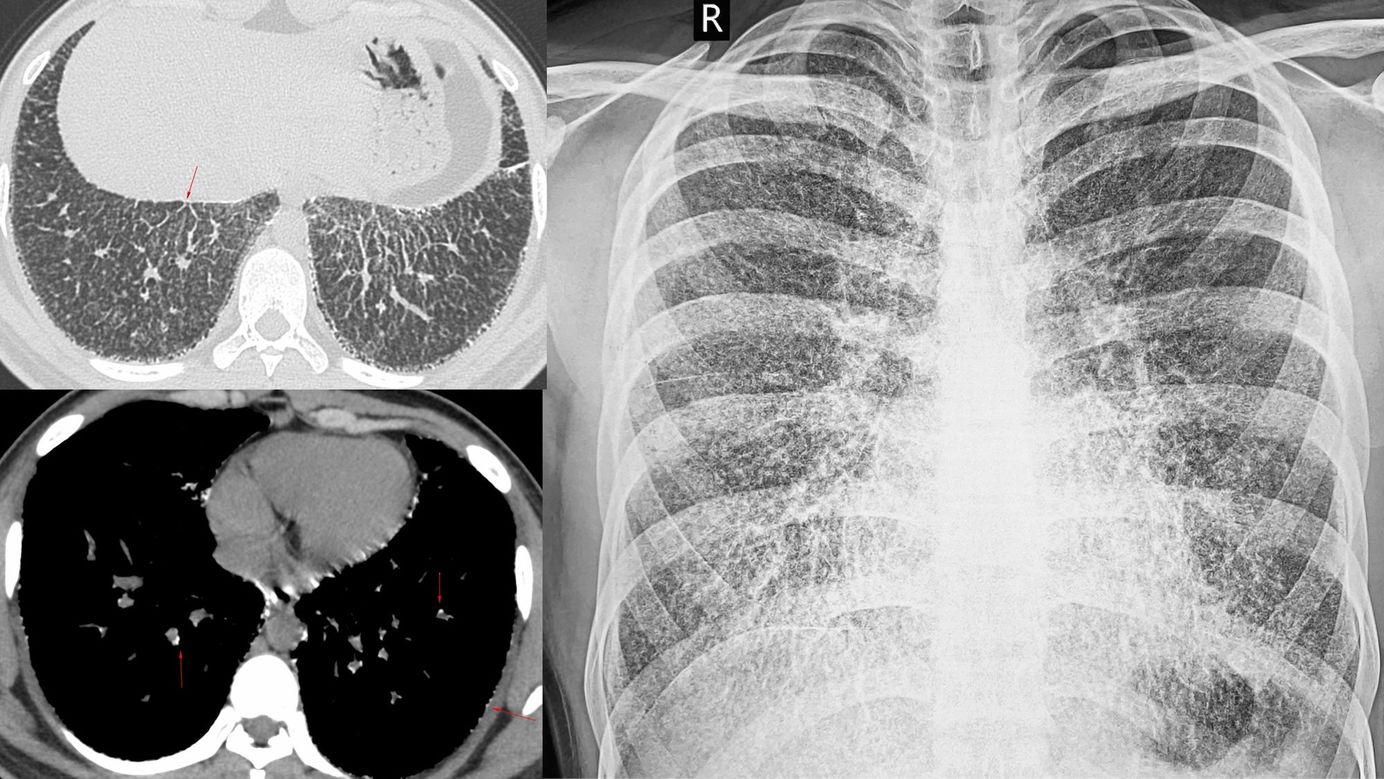
Case 6: Probable Usual Interstitial Pneumonia (Probable UIP) / Idiopathic Pulmonary Fibrosis (IPF) Members Public

63-years old man with probable UIP IPF. The video discusses the case, the differentiation from typical UIP IPF and the importance of traction bronchiectasis.

Bhavin Jankharia
Interstitial Lung Disease

Case 5: Usual Interstitial Pneumonia (UIP) - Idiopathic Pulmonary Fibrosis (IPF) Members Public

70-years old man with a 2-years history of progressive breathlessness. This case has axial, coronal and sagittal CT scan sets, with a D/D of honeycombing and flow-charts of how to diagnosis UIP and how to get to a diagnosis of IPF.

Bhavin Jankharia
Interstitial Lung Disease

Case 4: Lymphangitis Carcinomatosis Members Public

70-years old lady with Ca breast, with progressive dyspnea. She had nodular septal thickening in the right lung, more in the right lower lobe with larger discrete nodules. These findings are characteristic of lymphangitis carcinomatosis

Bhavin Jankharia
Interstitial Lung Disease

Case 3: Lungs of Stone Members Public

Patients with pulmonary alveolar microlithiasis - radiographs and CT scans with discussion and staging.

Bhavin Jankharia
Interstitial Lung Disease

Case 2: Resolution of Covid-19 "fibrosis" at 9 months follow-up Members Public

This case describes significant improvement of the lung lesions at 9 months follow-up as is known from the first SARS experience.

Bhavin Jankharia
Covid-19

Lecture 1: High Risk CT Imaging Features in Lung Cancer Screening Members Public

Describing the various signs that allows us to pick up Lung-RADS 4A and 4B lesions

Bhavin Jankharia
Lung Cancer Screening

Case Series 1: Do Not Ignore the Non-Contrast (Plain Scan) Members Public

The video shows 3 cases that bring forth the point that the non-contrast scan can make a difference to eventual management and should be done, looked at and evaluated.

Bhavin Jankharia
Non-Contrast