COD 176 - Atolls
The atoll sign and reversed ground glass
Index and Table of Contents
116 Cases with Videos
4 Cases with Images
30 Snippets
16 Lectures
31 Cases of the Day (CODs)
New Series - ILD Patterns (2 Done)

New One-Time, Lifetime Subscription
Please check out this page to see the changes in subscription models.

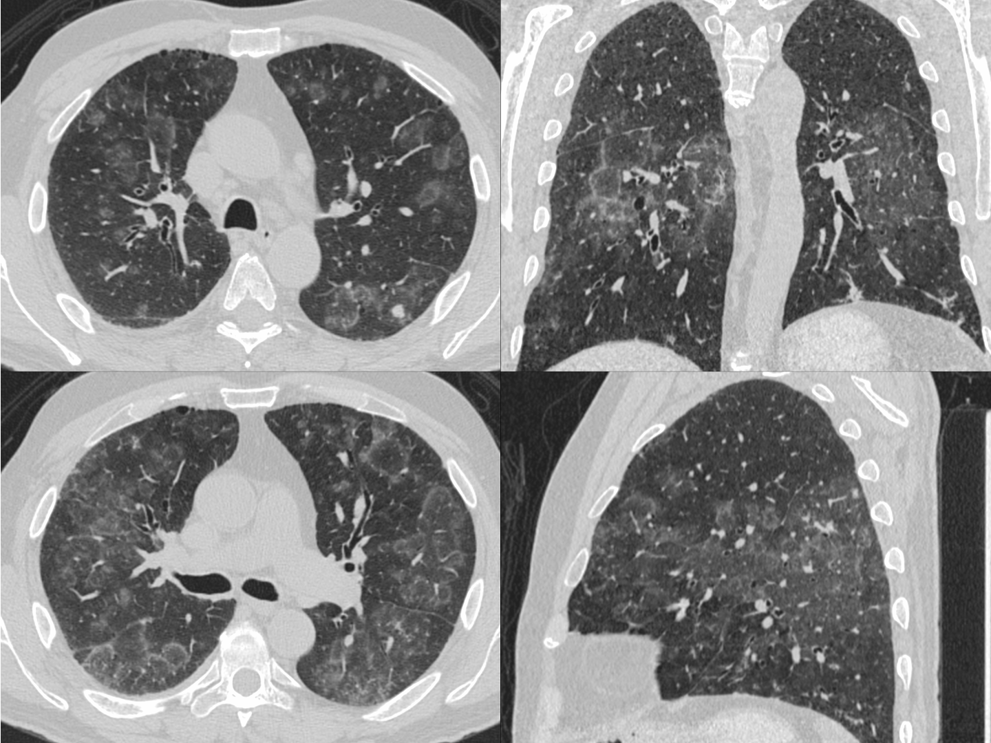
Case
65-years old on pembrolizumab for metastatic renal cell carcinoma has mild breathlessness
The CT scan shows confluent lesions with central lucency and peripheral high density rings.

The video describes the atoll or reversed ground glass sign, explaining the etymology and describing common causes of this sign.
To know each time a new post is up
This post is for paying subscribers only
SubscribeAlready have an account? Log in
