COD 137 - Validation of the "Scab-Like" Sign
The "scab-like" sign helps pick up early CPA/CCPA
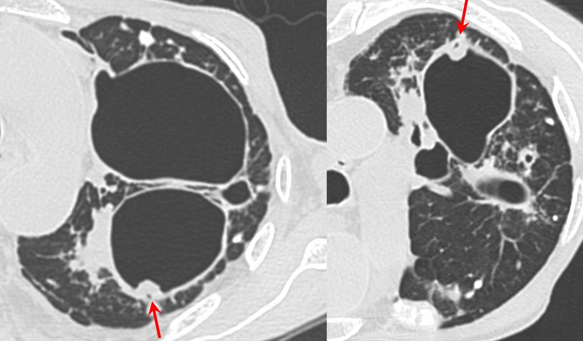
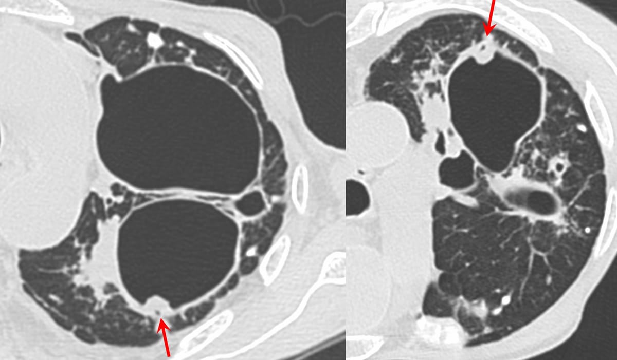
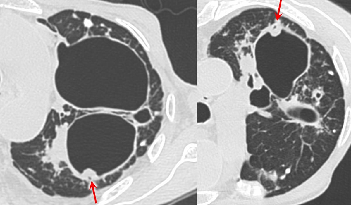
429-years old with PTLD had fever and weight loss. CT in July 2025 showed a "scab-like" sign, suggesting chronic pulmonary aspergillosis (CPA). This was also discussed in Case of the Day 16 and in Case 20
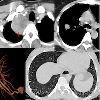
Case 20: “Scab-Like” Sign for Chronic Cavitary Aspergillosis
Post-tuberculous cavities with the “scab-like” sign predicting chronic cavitary pulmonary aspergillosis

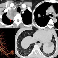
The video describes the case and how the diagnosis was validated on bronchoscopy and more importantly on the recent follow-up CT scan
To know each time a new post is up
Video
Previous Posts:
COD 131 - The Alveolar Filling Pattern
The diffuse crazy-paving pattern is quite distinctive in its classic, typical form.

Similar Posts:
Case 20: “Scab-Like” Sign for Chronic Cavitary Aspergillosis
Post-tuberculous cavities with the “scab-like” sign predicting chronic cavitary pulmonary aspergillosis

CT Chest Review Newsletter
Join the newsletter to receive the latest updates in your inbox.


