Case of the Day- 093 - 2025 08 27 - Why AI is the Only Solution to Our Chest X ray Hyposkillia
A missed diagnosis for 18 months staring at us on the X-rays
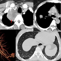
69-yrs old with RA-Sjogren’s overlap ILD with a variant UIP pattern came first in 2022 and then in 2023.
Has increasing cough for 18 months. Questionable fever. Recent weight loss.
Recent CT scan shows a complication.
The video describes the case and the issue related to the missed diagnosis for 18 months because of X-ray interpretation hyposkillia.
Video
Other Similar Cases and Posts
Case 066 - RA-ILD with an Unexpected Complication
Case of the Day - 089 - The X ray Hyposkillia Causing Missed and Misdiagnoses
Case 107: Why LLMs Will Render Many Radiologists and Their Reports Irrelevant

CT Chest Review Newsletter
Join the newsletter to receive the latest updates in your inbox.
