Snippet 29 - IgG4-Related Disease
A discussion of the various manifestations of IgG4-related disease - pulmonary, extrapulmonary and extrathoracic.
New One-Time, Lifetime Subscription
Please check out this page to see the changes in subscription models.

Current Post
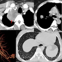
IgG4-related disease is an autoimmune process with infiltration of IgG4-plasma cells into tissues. It typically presents as a multi-organ, multicompartmental disease process.
The lung findings are myriad but often non-specific and it is not easy to make a prospective diagnosis, unless there are other organs like the lacrimal glands, salivary glands, pancreas, kidneys, aorta, etc involved.
This video goes through multi-system IgG4-related disease in general and then specifically looks at pulmonary and extra-pulmonary manifestations.
Table of Contents

Case of the Day
Previous Post

My New Book including the Kindle Edition

Other Sites and Cases

CT Chest Review Newsletter
Join the newsletter to receive the latest updates in your inbox.



