Post 04 - RA, RA-ILD, AEF, CPFE - So Many Acronyms in One Patient
A smoker patient with rheumatoid arthritis
Index and Table of Contents
116 Cases with Videos
3 Cases with Posts
30 Snippets
16 Lectures
30 Cases of the Day (CODs)
New Series - ILD Patterns (2 Done)
Index and Table of Contents
Technical and Practice Issues * Case 11: 62-years old misdiagnosed to have interstitial lung disease - mid-inspiratory and expiratory scans * Snippet 03: Radiation risk and CT chest * Case 23: 60-years old - 40-pack years smoker - right upper lobe nodule - resolved using “mean” reconstructions…

New One-Time, Lifetime Subscription
Please check out this page to see the changes in subscription models.
Payment
To make the site more accessible, we have decided to remove the yearly subscription and keep only a one-time, lifetime payment to get access to all content at www.ctchestreview.com and www.ctbiopsy.com. These sites are linked and hence one payment gives access to both sites, but the

All posts do not have to be videos...sometimes one or two images suffice. My plan is to try and put these up whenever there is something interesting with links to relevant posts, videos, cases of the day, etc. At present, this is only for Paid Subscribers.
Previous Post
Post 03 - Melted Sugar or Cotton Candy or Tinted Signs of Partial Regression
A follow-up of a patient of sarcoidosis

Current Post
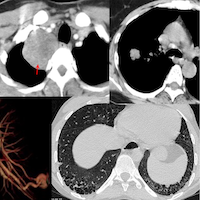
64-years old with rheumatoid arthritis on treatment had dyspnea. He was a 15-pack years smoker who had stopped 10 years ago. He was known to have ILD since 2023 and was on anti-fibrotics.
This post is for subscribers only
SubscribeAlready have an account? Log in

