COD 174 - Scleroderma and FANO
Early changes and FANO
Index and Table of Contents
116 Cases with Videos
4 Cases with Images
30 Snippets
16 Lectures
32 Cases of the Day (CODs)
New Series - ILD Patterns (2 Done)

New One-Time, Lifetime Subscription
Please check out this page to see the changes in subscription models.

Case
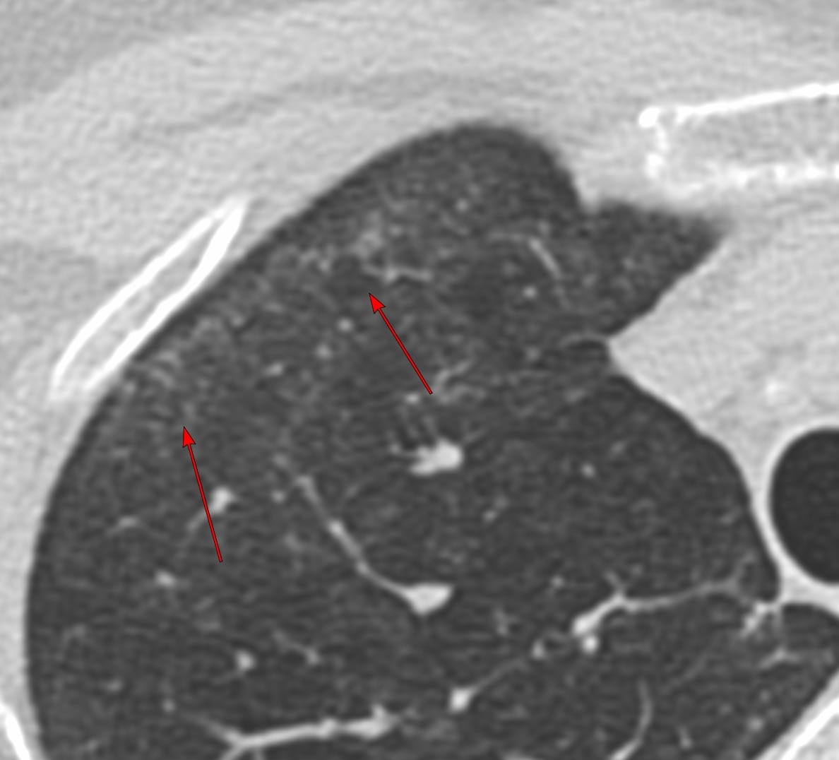
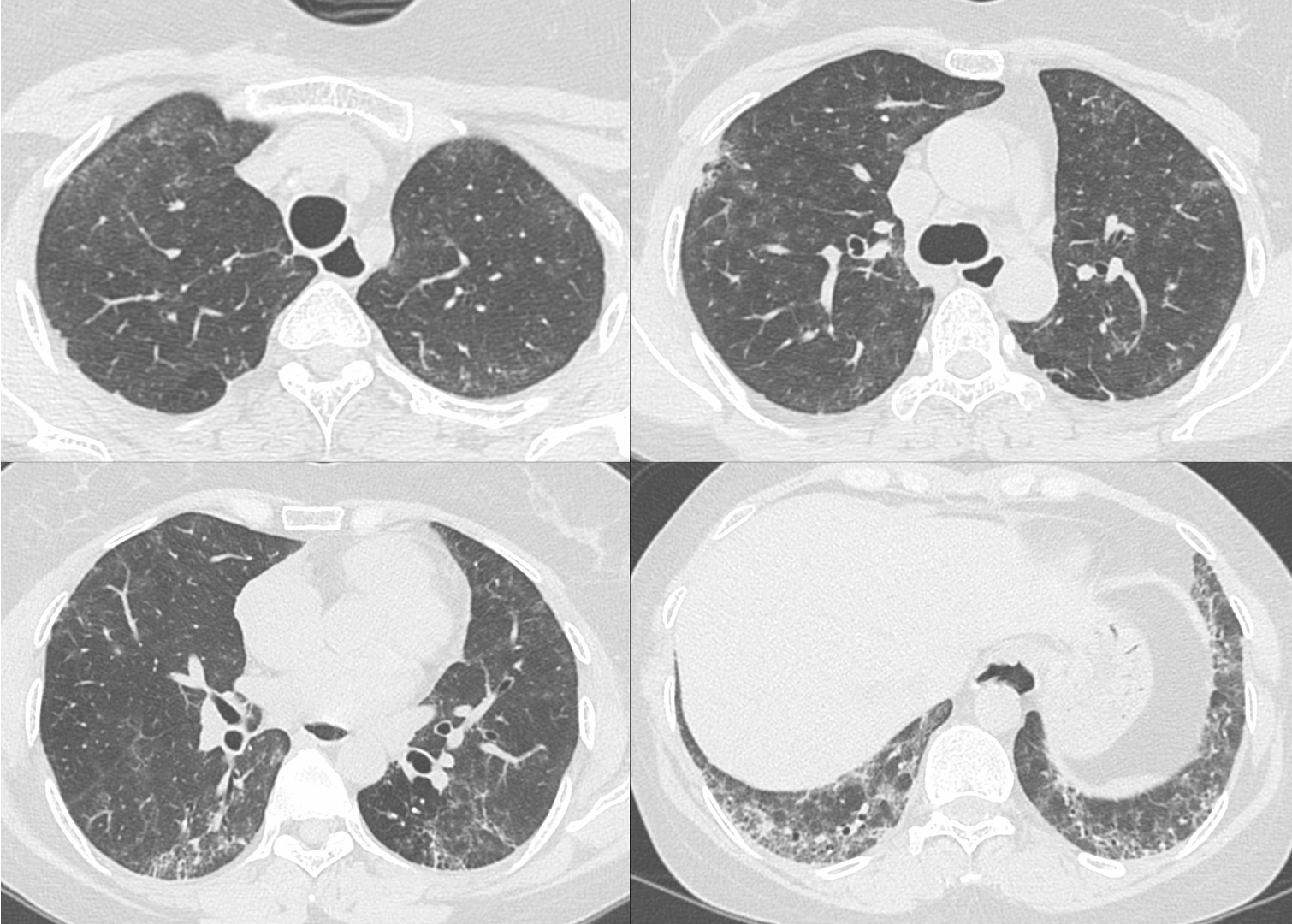
33-years old with scleroderma and scleroderma ILD with a fibrotic non-specific interstitial pneumonia (NSIP) pattern.

The upper lobes show interstitial lesions, typically considered to be part of the NSIP pattern.

A recent Japanese paper introduces the concept of FANO - faint amorphous nodular opacities - first described with asbestosis, which are seen typically in the anterolateral non-dependent upper lobes and most commonly associated with an NSIP pattern and are known to progress and likely represent early-stage interstitial disease.

This brings to focus the likelihood that the early stage scleroderma ILD cases I have shown earlier have also likely been FANO lesions.

To know each time a new post is up
This post is for paying subscribers only
SubscribeAlready have an account? Log in


