COD 162 - ILD or Mimics

Mimics that simulate ILA or ILD

Bhavin Jankharia

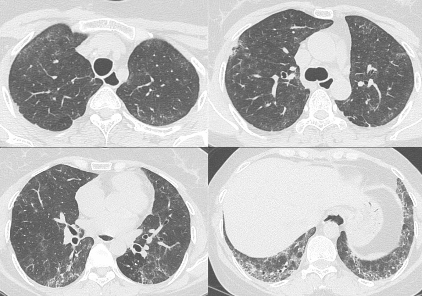
70-years old diagnosed to have ILD on an Aug 2025 CT scan.

A repeat CT scan showed interstitial lesions. The question is are they "real" and imply interstitial lung abnormality disease (ILD) or they are mimics.

The mimics are
Expiratory, poor breath-hold
Edema
Gravity dependent densities
Friction fibrosis
Aspiration changes
Inflammatory bronchiolitis

The video explains which mimics the patient has that simulate ILD.

To know each time a new post is up

Subscribe

This post is for paying subscribers only

Subscribe

Already have an account? Log in