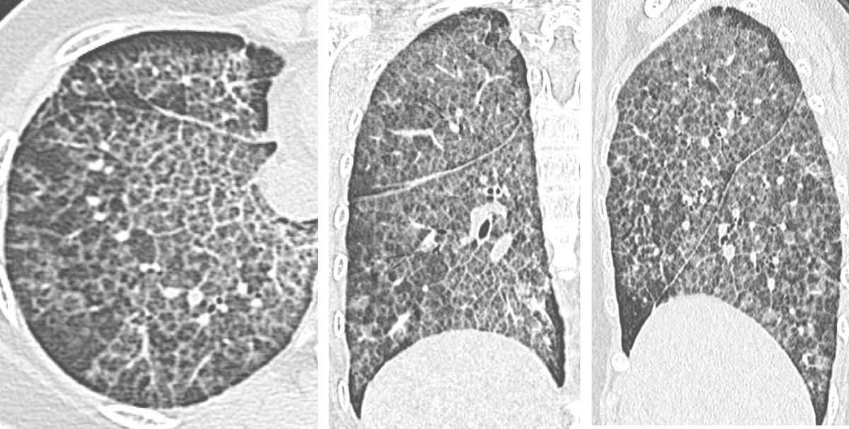
COD 131 - The Alveolar Filling Pattern
The diffuse crazy-paving pattern is quite distinctive in its classic, typical form.
48-yrs old in 2020 with diffuse lung disease and superimposed TB. Known to have ILD since 2014.
The CT scans consistently have shown a crazy-paving pattern, which now would be called an alveolar filling pattern as per the new guidelines.
The video describes the case and the course over 5 CT scans and 4 years and the final diagnosis which was reached after bronchoscopy and lavage.
To know each time a new post is up
Video
Previous Posts:

Similar Posts:


CT Chest Review Newsletter
Join the newsletter to receive the latest updates in your inbox.


