Case 116 - Decoding DPO and CiOP
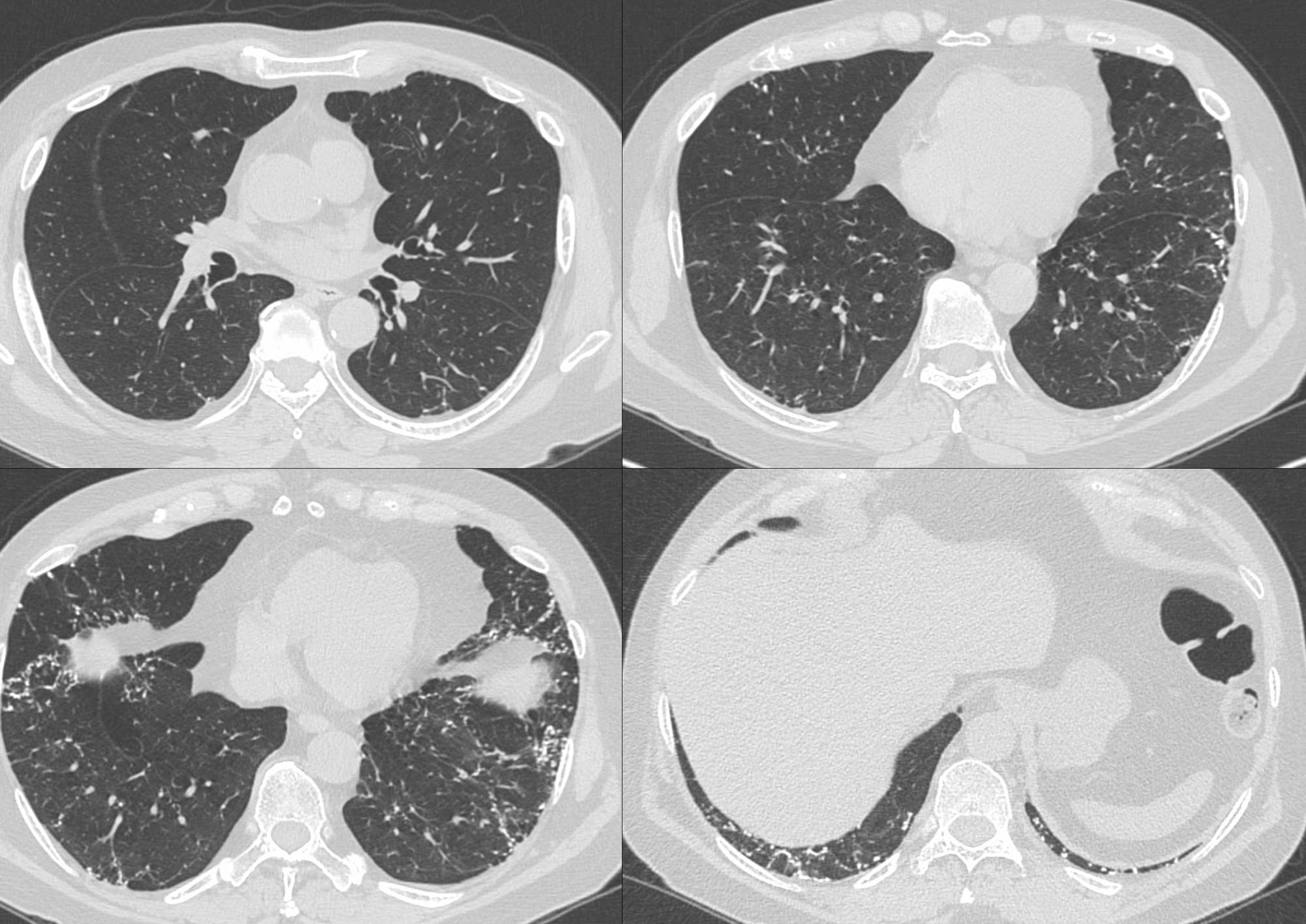
DPO is a pattern…of nodular, mixed or dendriform subpleural ossific areas, a CT marker of CiOP, idiopathic or secondary to other fibrosing ILDs. Clinically, this may be an ILA if asymptomatic or part of an ILD if symptomatic.
New One-Time, Lifetime Subscription
Please check out this page to see the changes in subscription models.

Current Post
63-years old with a remote 4 pack years history of smoking came with mild dyspnea, and cough with expectoration

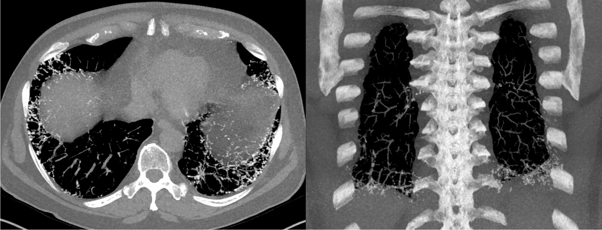
20 mm MIPs showed the classic lacy pattern of dendriform diffuse pulmonary ossification (DPO)

The video describes the case and discusses the newer literature on the DPO and the relative new entity CiOP.
This post is for paying subscribers only
SubscribeAlready have an account? Log in
