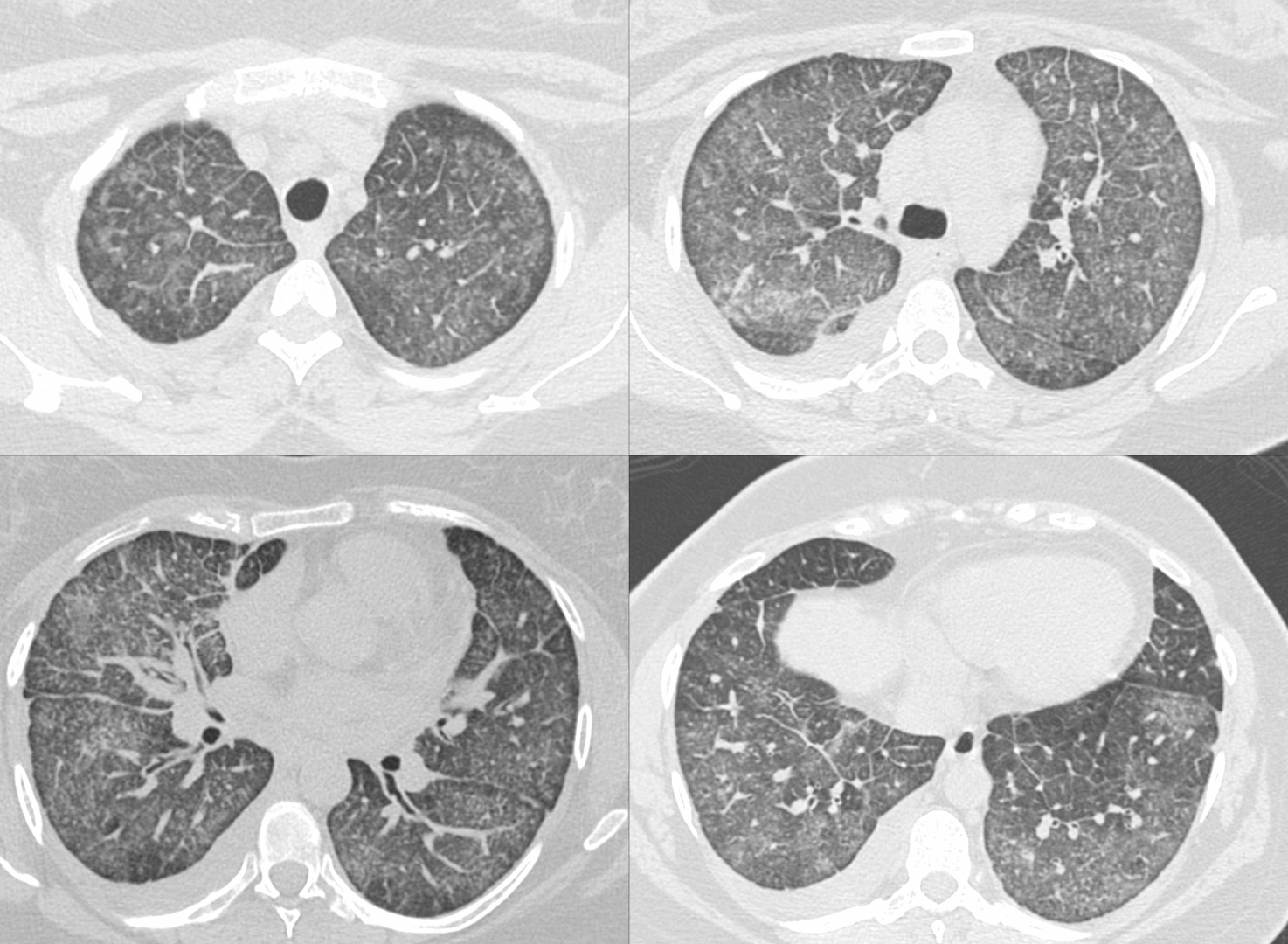
Case 115 - Ground Glass + Septal Thickening
Ground glass plus septal thickening has a specific set of conditions that can be differentiated based on appearance morphology, presentation (acute/subacute/chronic) and presence of other findings in the chest or elsewhere on whole body scanning
New One-Time, Lifetime Subscription
Please check out this page to see the changes in subscription models.
Payment
To make the site more accessible, we have decided to remove the yearly subscription and keep only a one-time, lifetime payment to get access to all content at www.ctchestreview.com and www.ctbiopsy.com. These sites are linked and hence one payment gives access to both sites, but the

Current Post
This 36-years old presented with gradually progressive breathlessness

What is the diagnosis?

The video describes an approach to a case like this using this flow chart.
This post is for subscribers only
SubscribeAlready have an account? Log in
