Revision of the One-Time Lifetime Subscription from 01 Jan 2026
If you've been on the fence to convert your membership to an all-access one, this may be a good opportunity.
From Jan 01 2006, the price will rise to Rs. 5999.
In 2026, one new feature will be Posts only for Paid Members. The first is a series on ILD patterns (UIP, NSIP, OP, BIP, etc).
The rest of the posts will follow the usual - Public (2 weeks) - Members only ( 2 weeks) - Paid Members only - protocol
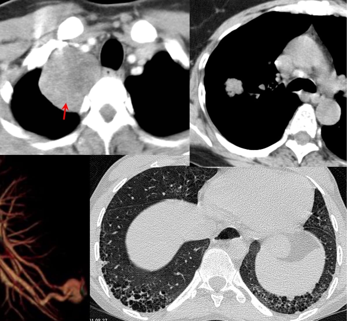
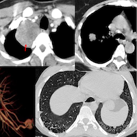
With 116 Cases, 29 Snippets, 15 Lectures, the 4-years old site now is a comprehensive resource on chest radiology, mainly CT chest. Along with regular Cases of the Day, the idea is to keep abreast of all the new developments, while continuing to add to the foundations and basics.
For payment details, please click here or click below and follow instructions.

CT Chest Review Newsletter
Join the newsletter to receive the latest updates in your inbox.
