Post 05 - Chondroid Hamartoma of Lung
A small hard subpleural nodule
Index and Table of Contents
116 Cases with Videos
5 Cases with Posts
30 Snippets
16 Lectures
30 Cases of the Day (CODs)
New Series - ILD Patterns (2 Done)

New One-Time, Lifetime Subscription
Please check out this page to see the changes in subscription models.

All posts do not have to be videos...sometimes one or two images suffice. My plan is to try and put these up whenever there is something interesting with links to relevant posts, videos, cases of the day, etc.
Previous Post

Current Post
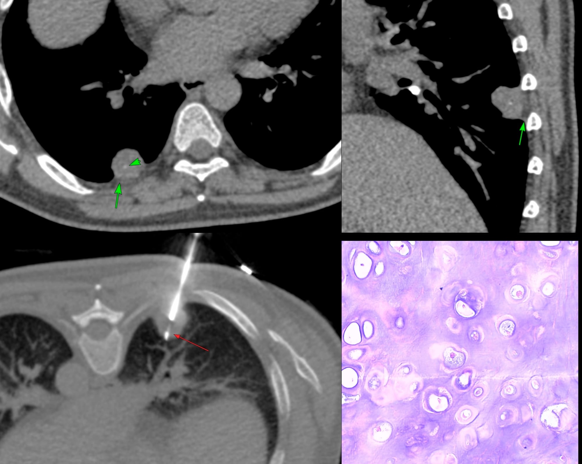
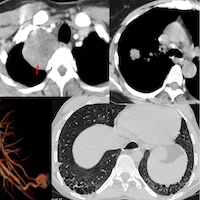
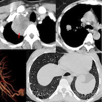
56-years old with an incidentally detected lung nodule in the superior segment of the right lower lobe of the lung. It showed one calcific speck. No contrast. No PET. There was extrapleural fat retraction, suggesting this could be extra-pulmonary.

On biopsy, it was firm. Histopath shows cartilage.
This is a peripheral chondroid hamartoma of the lung. Likely so longstanding, that the pleura has puckered around it.
Similar case.

Similar Cases


CT Chest Review Newsletter
Join the newsletter to receive the latest updates in your inbox.




