COD 149 - The Subtle Lung Signs that Confirm Sarcoidosis
Why evaluating the lungs in detail can help us pick up subtle signs of disease in patients with adenopathy.
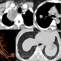
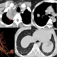
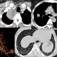
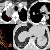
40-years old with fever, weight loss, raised creatinine.
A left supraclavicular node biopsy before the CT scan showed non-caseating granulomatous disease with GeneXpert negative for TB.
The video discusses the case, the differential of bilateral hilar adenopathy and then why evaluating the lungs in detail can help us pick up subtle signs of disease that can help clinch a diagnosis of sarcoidosis as in this case or tuberculosis, as the case may be.
To know each time a new post is up
Video
This adds to the previous posts on the topics



Previous Posts:

CT Chest Review Newsletter
Join the newsletter to receive the latest updates in your inbox.



